• Tel: 858.663.9055
  • SeparatorEmail: info@nsjbio.com
  • Tel: 858.663.9055
  • Email: info@nsjbio.com
Home >> Antibodies >> Paralemmin Antibody / PALM

Paralemmin Antibody / PALM (RQ8476)

  Catalog No Formulation Size Price (USD)  
Image RQ8476 0.5mg/ml if reconstituted with 0.2ml sterile DI water 100 ug 439
Bulk quote request
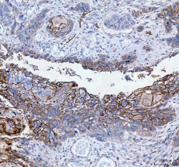
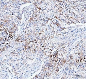
IHC staining of FFPE human esophageal squamous carcinoma tissue with Paralemmin antibody. HIER: boil tissue sections in pH8 EDTA for 20 min and allow to cool before testing.
IHC staining of FFPE human lung cancer tissue with Paralemmin antibody. HIER: boil tissue sections in pH8 EDTA for 20 min and allow to cool before testing.
IHC staining of FFPE mouse brain tissue with Paralemmin antibody. HIER: boil tissue sections in pH8 EDTA for 20 min and allow to cool before testing.
IHC staining of FFPE rat brain tissue with Paralemmin antibody. HIER: boil tissue sections in pH8 EDTA for 20 min and allow to cool before testing.
Flow cytometry testing of fixed and permeabilized human SH-SY5Y cells with Paralemmin antibody at 1ug/million cells (blocked with goat sera); Red=cells alone, Green=isotype control, Blue= Paralemmin antibody.
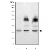
Western blot testing of 1) human U-2 OS, 2) rat brain and 3) mouse brain tissue lysate with Paralemmin antibody. Predicted molecular weight ~42 kDa (L-form) and ~37 kDa (S-form).
Availability 1-3 days
Species Reactivity Human, Mouse, Rat
Format Antigen affinity purified
Clonality Polyclonal (rabbit origin)
Isotype Rabbit IgG
Purity Antigen affinity purified
Buffer Lyophilized from 1X PBS with 2% Trehalose
UniProt O75781
Localization Cell membrane
Applications Western Blot : 0.5-1ug/ml
Immunohistochemistry (FFPE) : 2-5ug/ml
Flow Cytometry : 1-3ug/million cells
ELISA : 0.1-0.5ug/ml
Limitations This Paralemmin antibody is available for research use only.
Review this product on BioCompare and get a $20 Amazon gift card

Description

Paralemmin is a protein that in humans is encoded by the PALM gene. This gene encodes a member of the paralemmin protein family. The product of this gene is a prenylated and palmitoylated phosphoprotein that associates with the cytoplasmic face of plasma membranes and is implicated in plasma membrane dynamics in neurons and other cell types. Several alternatively spliced transcript variants have been identified, but the full-length nature of only two transcript variants has been determined.

Application Notes

Optimal dilution of the Paralemmin antibody should be determined by the researcher.

Immunogen

An E.coli-derived human recombinant protein (amino acids D148-M387) was used as the immunogen for the Paralemmin antibody.

Storage

After reconstitution, the Paralemmin antibody can be stored for up to one month at 4oC. For long-term, aliquot and store at -20oC. Avoid repeated freezing and thawing.

Cross
Bulk Quote Request Form
Name*:
Organization*:
Email*:
Phone Number*:
Catalog No.*:
Comments and Specifics(amount, formulation, etc.)*:
Validation code: Captchapackage Image


Can't read the image? click here to refresh.
    *required field

Your bulk quote request has been submitted successfully!

Please contact us if you have any questions.