• Tel: 858.663.9055
  • SeparatorEmail: info@nsjbio.com
  • Tel: 858.663.9055
  • Email: info@nsjbio.com
Home >> Antibodies >> PAPP-A Antibody / Pappalysin-1

PAPP-A Antibody / Pappalysin-1 [clone PAPPA/2718] (V7594)

  Catalog No Formulation Size Price (USD)  
Image V7594-100UG 0.2 mg/ml in 1X PBS with 0.1 mg/ml BSA (US sourced) and 0.05% sodium azide 100 ug 539
Image
V7594-20UG 0.2 mg/ml in 1X PBS with 0.1 mg/ml BSA (US sourced) and 0.05% sodium azide 20 ug 249
Image
V7594SAF-100UG 1 mg/ml in 1X PBS; BSA free, sodium azide free 100 ug 539
Image
V7594IHC-7ML Prediluted in 1X PBS with 0.1 mg/ml BSA (US sourced) and 0.05% sodium azide; *For IHC use only* 7 ml 539
Microvalidated
Bulk quote request
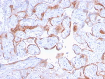
IHC staining of FFPE human placenta with PAPP-A antibody (clone PAPPA/2718). HIER: boil tissue sections in pH6, 10mM citrate buffer, for 10-20 min and allow to cool before testing.
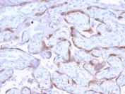
IHC staining of FFPE human placenta with PAPP-A antibody (clone PAPPA/2718). HIER: boil tissue sections in pH6, 10mM citrate buffer, for 10-20 min and allow to cool before testing.
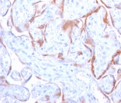
IHC staining of FFPE human placenta with PAPP-A antibody (clone PAPPA/2718). HIER: boil tissue sections in pH6, 10mM citrate buffer, for 10-20 min and allow to cool before testing.
Analysis of HuProt(TM) microarray containing more than 19,000 full-length human proteins using PAPP-A antibody (clone PAPPA/2718). These results demonstrate the foremost specificity of the PAPPA/2718 mAb.
Z- and S- score: The Z-score represents the strength of a signal that an antibody (in combination with a fluorescently-tagged anti-IgG secondary Ab) produces when binding to a particular protein on the HuProt(TM) array. Z-scores are described in units of standard deviations (SD's) above the mean value of all signals generated on that array. If the targets on the HuProt(TM) are arranged in descending order of the Z-score, the S-score is the difference (also in units of SD's) between the Z-scores. The S-score therefore represents the relative target specificity of an Ab to its intended target.
SDS-PAGE analysis of purified, BSA-free PAPP-A antibody (clone PAPPA/2718) as confirmation of integrity and purity.
Availability 1-3 business days
Species Reactivity Human
Format Purified
Clonality Monoclonal (mouse origin)
Isotype Mouse IgG2b, kappa
Clone Name PAPPA/2718
Purity Protein G affinity chromatography
UniProt Q13219
Localization Cytoplasmic
Applications Immunohistochemistry (FFPE) : 1-2ug/ml for 30 min at RT
Limitations This PAPP-A antibody is available for research use only.
Review this product on BioCompare and get a $20 Amazon gift card

Related Products

Description

Pregnancy Associated Plasma Protein (PAPP-A) is found in maternal blood that increases as pregnancy progresses, although it is not specific to pregnancy. It is principally expressed in the syncytiotrophoblast of the placenta, which forms the main source of circulating maternal PAPP-A. It cleaves insulin-like growth factor binding proteins (IGFBPs), IGFBP-4 and IGFBP-5. IGFBP-4 cleavage is enhanced significantly in the presence of bound IGF, whereas IGFBP-5 cleavage is inhibited slightly by IGF presence. It is thought to be involved in local proliferative processes such as wound healing and bone remodeling. Low plasma level of this protein has been suggested as a biochemical marker for pregnancies with aneuploid fetuses. PAPPA has also been suggested as a potential biomarker of acute myocardial infarction and Coronary Artery Disease (CAD).

Application Notes

Optimal dilution of the PAPP-A antibody should be determined by the researcher.
1. The prediluted format is supplied in a dropper bottle and is optimized for use in IHC. After epitope retrieval step (if required), drip mAb solution onto the tissue section and incubate at RT for 30 min.

Immunogen

A portion of amino acids 351-523 from the human protein was used as the immunogen for the PAPP-A antibody.

Storage

Store the PAPP-A antibody at 2-8oC (with azide) or aliquot and store at -20oC or colder (without azide).

Cross
Bulk Quote Request Form
Name*:
Organization*:
Email*:
Phone Number*:
Catalog No.*:
Comments and Specifics(amount, formulation, etc.)*:
Validation code: Captchapackage Image


Can't read the image? click here to refresh.
    *required field

Your bulk quote request has been submitted successfully!

Please contact us if you have any questions.