- Tel: 858.663.9055
- 
									 Email: info@nsjbio.com Email: info@nsjbio.com
- Tel: 858.663.9055
- Email: info@nsjbio.com
 Email: info@nsjbio.com
Email: info@nsjbio.com
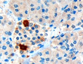
								Additional name(s) for this target protein: Pancreatic polypeptide Y; PPY
Optimal dilution of the Pancreatic Polypeptide antibody should be determined by the researcher.
Amino acids TRPRYGKRHKEDT were used as the immunogen for this Pancreatic Polypeptide antibody.
Aliquot and store the Pancreatic Polypeptide antibody at -20oC.
 
Your bulk quote request has been submitted successfully!
Please contact us if you have any questions.