• Tel: 858.663.9055
  • SeparatorEmail: info@nsjbio.com
  • Tel: 858.663.9055
  • Email: info@nsjbio.com
Home >> Antibodies >> Pan-HLA Antibody MHC II (DP/DQ/DR)

Pan-HLA Antibody MHC II (DP/DQ/DR) [clone HLA-Pan/6663] (V8840)

  Catalog No Formulation Size Price (USD)  
Image V8840-100UG 0.2 mg/ml in 1X PBS with 0.1 mg/ml BSA (US sourced), 0.05% sodium azide 100 ug 539
Image
V8840-20UG 0.2 mg/ml in 1X PBS with 0.1 mg/ml BSA (US sourced), 0.05% sodium azide 20 ug 249
Image
V8840SAF-100UG 1 mg/ml in 1X PBS; BSA free, sodium azide free 100 ug 539
Bulk quote request
IHC staining of FFPE human tonsil tissue with Pan-HLA antibody (clone HLA-Pan/6663). HIER: boil tissue sections in pH 9 10mM Tris with 1mM EDTA for 20 min and allow to cool before testing.
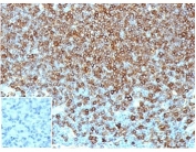
IHC staining of FFPE human lymph node tissue with Pan-HLA antibody (clone HLA-Pan/6663). Negative control inset: PBS instead of primary antibody to control for secondary binding. HIER: boil tissue sections in pH 9 10mM Tris with 1mM EDTA for 20 min and allow to cool before testing.
Availability 1-3 business days
Species Reactivity Human
Format Purified
Clonality Monoclonal (mouse origin)
Isotype Mouse IgG1, kappa
Clone Name HLA-Pan/6663
Purity Protein A/G affinity
UniProt P04440 (HLA-DP) , P01908 , P01909 , P01920 (HLA-DQ) , P01903 (HLA-DR)
Localization Cell Surface
Applications Flow Cytometry : 1-2ug/million cells
Immunohistochemistry (FFPE) : 1-2ug/ml
Limitations This Pan-HLA antibody is available for research use only.
Review this product on BioCompare and get a $20 Amazon gift card

Related Products

Description

Reacts with a common epitope of human major histocompatibility (MHC) class II antigens, HLA-DP, -DQ and -DR. Human MHC class II antigens are transmembrane glycoproteins composed of an alpha chain (36kDa) and a beta chain (27kDa). They are expressed primarily on antigen presenting cells such as B lymphocytes, monocytes, macrophages, and thymic epithelial cells and are also present on activated T lymphocytes. Human MHC class II genes are located in the HLA-D region that encodes at least six alpha and ten beta chain genes. Three loci, DR, DQ and DP, encode the major expressed products of the human class II region. The human MHC class II molecules bind intracellularly processed peptides and present them to T-helper cells. They, therefore, have a critical role in the initiation of the immune response.

Application Notes

Optimal dilution of the Pan-HLA antibody should be determined by the researcher.

Immunogen

Priess human B cell line was used as the immunogen for the Pan-HLA antibody.

Storage

Aliquot the Pan-HLA antibody and store frozen at -20oC or colder. Avoid repeated freeze-thaw cycles.

Cross
Bulk Quote Request Form
Name*:
Organization*:
Email*:
Phone Number*:
Catalog No.*:
Comments and Specifics(amount, formulation, etc.)*:
Validation code: Captchapackage Image


Can't read the image? click here to refresh.
    *required field

Your bulk quote request has been submitted successfully!

Please contact us if you have any questions.