• Tel: 858.663.9055
  • SeparatorEmail: info@nsjbio.com
  • Tel: 858.663.9055
  • Email: info@nsjbio.com
Home >> Antibodies >> Pan-HLA Antibody (DP/DQ/DR)

Pan-HLA Antibody (DP/DQ/DR) [clone HLA-Pan/2967R] (V7585)

  Catalog No Formulation Size Price (USD)  
Image V7585-100UG 0.2 mg/ml in 1X PBS with 0.1 mg/ml BSA (US sourced) and 0.05% sodium azide 100 ug 539
Image
V7585-20UG 0.2 mg/ml in 1X PBS with 0.1 mg/ml BSA (US sourced) and 0.05% sodium azide 20 ug 249
Image
V7585SAF-100UG 1 mg/ml in 1X PBS; BSA free, sodium azide free 100 ug 539
Image
V7585IHC-7ML Prediluted in 1X PBS with 0.1 mg/ml BSA (US sourced) and 0.05% sodium azide; *For IHC use only* 7 ml 539
Microvalidated
Bulk quote request
Immunofluorescence staining of human Raji cells with Pan-HLA antibody (green, clone HLA-Pan/2967R) and Reddot nuclear stain (red).
Immunofluorescence staining of human Ramos cells with Pan-HLA antibody (green, clone HLA-Pan/2967R) and Reddot nuclear stain (red).
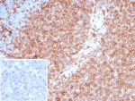
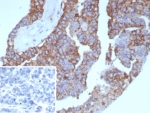
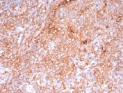
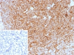
IHC testing of FFPE human tonsil tissue with recombinant Pan-HLA antibody (clone HLA-Pan/2967R). Required HIER: boil tissue sections in 10mM citrate buffer, pH 6, for 10-20 min and allow to cool prior to testing.
Flow cytometry testing of human Ramos cells with Pan-HLA antibody (clone HLA-Pan/2967R); Red=isotype control, Blue= Pan-HLA antibody.
Western blot testing of human Ramos lysate with Pan-HLA antibody (clone HLA-Pan/2967R). Expected molecular weight: 33-35 kDa.
Analysis of HuProt(TM) microarray containing more than 19,000 full-length human proteins using Pan-HLA antibody (clone HLA-Pan/2967R). These results demonstrate the foremost specificity of the HLA-Pan/2967R mAb.
Z- and S- score: The Z-score represents the strength of a signal that an antibody (in combination with a fluorescently-tagged anti-IgG secondary Ab) produces when binding to a particular protein on the HuProt(TM) array. Z-scores are described in units of standard deviations (SD's) above the mean value of all signals generated on that array. If the targets on the HuProt(TM) are arranged in descending order of the Z-score, the S-score is the difference (also in units of SD's) between the Z-scores. The S-score therefore represents the relative target specificity of an Ab to its intended target.
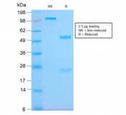
SDS-PAGE analysis of purified, BSA-free recombinant Pan-HLA antibody (clone HLA-Pan/2967R) as confirmation of integrity and purity.
Availability 1-3 business days
Species Reactivity Human
Format Purified
Clonality Monoclonal (mouse origin)
Isotype Rabbit IgG
Clone Name HLA-Pan/2967R
Purity Protein A affinity chromatography
UniProt P04440 , P01908 , P01909 , P01920 , P01903
Localization Cell surface
Applications ELISA : 2-5ug/ml (order BSA/sodium azide-free format)
Flow Cytometry : 1-2ug/10^6 cells
Immunofluorescence : 1-2ug/ml
Western Blot : 1-2ug/ml
Immunohistochemistry (FFPE) : 1-2ug/ml for 30 min at RT
Limitations This Pan-HLA antibody is available for research use only.
Review this product on BioCompare and get a $20 Amazon gift card

Related Products

Description

Pan-HLA antibody detects human leukocyte antigen proteins, a group of major histocompatibility complex class I and class II molecules encoded by the HLA gene cluster. HLA proteins present peptide antigens to T cells, enabling adaptive immune recognition of pathogens and abnormal self. Because HLA molecules are expressed on nearly all nucleated cells and vary widely among individuals, Pan-HLA antibody is a valuable tool for immunology, transplantation, and oncology research.

HLA proteins consist of a peptide-binding groove that accommodates short antigenic fragments, a transmembrane region, and a cytoplasmic tail. Class I molecules such as HLA-A, HLA-B, and HLA-C present peptides to CD8+ T cells, while class II molecules like HLA-DR, HLA-DP, and HLA-DQ present peptides to CD4+ T cells. This antigen presentation system underpins immune surveillance, shaping responses to infection, tumors, and autoimmunity.

The Pan-HLA antibody clone HLA-Pan/2967R provides broad and consistent recognition across multiple HLA alleles. Recombinant production ensures reproducibility, minimizing variability in assays where precise detection of HLA is critical. Clone HLA-Pan/2967R has been cited in peer-reviewed studies exploring immune regulation, tumor immunology, and transplantation biology. Its versatility supports applications in flow cytometry, immunohistochemistry, and functional assays.

Research using clone HLA-Pan/2967R has clarified how HLA expression levels correlate with immune recognition and therapeutic response. In oncology, tumors frequently downregulate HLA molecules to evade cytotoxic T-cell responses, and this antibody enables quantification of such immune escape mechanisms. In transplantation research, HLA detection provides insight into donor-recipient compatibility and rejection risk. In autoimmune studies, Pan-HLA detection assists in characterizing antigen presentation pathways that contribute to aberrant T-cell activation.

NSJ Bioreagents supplies this Pan-HLA antibody to support immunology, cancer biology, and transplant research. Alternate names include HLA class I and class II antibody, major histocompatibility complex antibody, MHC antigen antibody, human leukocyte antigen system antibody, and HLA family protein antibody.

HLA-Pan/2967R reacts with a common epitope of human major histocompatibility (MHC) class II antigens, HLA-DP, -DQ and -DR.

Application Notes

Optimal dilution of the Pan-HLA antibody should be determined by the researcher.
1. The prediluted format is supplied in a dropper bottle and is optimized for use in IHC. After epitope retrieval step (if required), drip mAb solution onto the tissue section and incubate at RT for 30 min.

Immunogen

The non-T, non-B human acute lymphoblastic leukemia REH6 cell line was used as the immunogen for the Pan-HLA antibody.

Storage

Store the Pan-HLA antibody at 2-8oC (with azide) or aliquot and store at -20oC or colder (without azide).

Cross
Bulk Quote Request Form
Name*:
Organization*:
Email*:
Phone Number*:
Catalog No.*:
Comments and Specifics(amount, formulation, etc.)*:
Validation code: Captchapackage Image


Can't read the image? click here to refresh.
    *required field

Your bulk quote request has been submitted successfully!

Please contact us if you have any questions.