• Tel: 858.663.9055
  • SeparatorEmail: info@nsjbio.com
  • Tel: 858.663.9055
  • Email: info@nsjbio.com
Home >> Antibodies >> PALS1 Antibody / Protein associated with Lin seven 1

PALS1 Antibody / Protein associated with Lin seven 1 (FY12190)

  Catalog No Formulation Size Price (USD)  
Image FY12190 Adding 0.2 ml of distilled water will yield a concentration of 500 ug/ml 100 ug 439
Bulk quote request
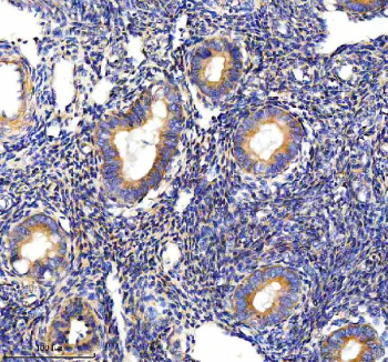
Immunohistochemical staining of PALS1 using anti-PALS1 antibody. PALS1 was detected in a paraffin-embedded section of human endometrial cancer tissue. Heat mediated antigen retrieval was performed in EDTA buffer (pH 8.0, epitope retrieval solution). The tissue section was blocked with 10% goat serum. The tissue section was then incubated with 2 ug/ml rabbit anti-PALS1 antibody overnight at 4oC. Peroxidase Conjugated Goat Anti-rabbit IgG was used as secondary antibody and incubated for 30 minutes at 37oC. The tissue section was developed using an HRP secondary and DAB substrate.
Western blot analysis of PALS1 using anti-PALS1 antibody. Electrophoresis was performed on a 10% SDS-PAGE gel at 80V (Stacking gel) / 120V (Resolving gel) for 2 hours. Lane 1: human Hela whole cell lysates, Lane 2: human 293T whole cell lysates, Lane 3: human whole cell lysates, Lane 4: human U20S whole cell lysates, Lane 5: rat brain tissue lysates, Lane 6: rat C6 whole cellue lysates, Lane 7: mouse brain tissue lysates, Lane 8: mouse Neuro-2a whole cellsue lysates. After electrophoresis, proteins were transferred to a nitrocellulose membrane at 150 mA for 50-90 minutes. Blocked the membrane with 5% non-fat milk/TBS for 1.5 hour at RT. The membrane was incubated with rabbit anti-PALS1 antibody at 0.5 ug/ml overnight at 4oC, then washed with TBS-0.1%Tween 3 times with 5 minutes each and probed with a goat anti-rabbit IgG-HRP secondary antibody at a dilution of 1:5000 for 1.5 hour at RT. The signal was developed using an ECL Plus Western Blotting Substrate. The expected band size for PALS1 is at 77 kDa.
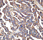
Immunohistochemical staining of PALS1 using anti-PALS1 antibody. PALS1 was detected in a paraffin-embedded section of human ovarian cancer tissue. Heat mediated antigen retrieval was performed in EDTA buffer (pH 8.0, epitope retrieval solution). The tissue section was blocked with 10% goat serum. The tissue section was then incubated with 2 ug/ml rabbit anti-PALS1 antibody overnight at 4oC. Peroxidase Conjugated Goat Anti-rabbit IgG was used as secondary antibody and incubated for 30 minutes at 37oC. The tissue section was developed using an HRP secondary and DAB substrate.
Immunoprecipitating PALS1 in HepG2 whole cell lysate. Western blot analysis of PALS1 using anti-PALS1 antibody. Lane 1: HepG2 whole cell lysates (30ug), Lane 2: Rabbit control IgG instead of anti-PALS1 antibody in HepG2 whole cell lysate, Lane 3: anti-PALS1 antibody (2ug) + HepG2 whole cell lysate (500ug). After electrophoresis, proteins were transferred to a membrane. Then the membrane was incubated with rabbit anti-PALS1 antibody at a dilution of 0.5 ug/ml and probed with a mouse anti-rabbit IgG-HRP secondary antibody (Light Chain). The signal is developed using ECL Plus Western Blotting Substrate. A specific band was detected for PALS1 at approximately 80 kDa. The expected band size for PALS1 is at 77 kDa.
Flow Cytometry analysis of 293T cells using anti-PALS1 antibody. Overlay histogram showing 293T cells stained with (Blue line). The cells were fixed with 4% paraformaldehyde and blocked with 10% normal goat serum. And then incubated with rabbit anti-PALS1 antibody (1 ug/million cells) for 30 min at 20oC. DyLight 488 conjugated goat anti-rabbit IgG (5-10 ug/million cells) was used as secondary antibody for 30 minutes at 20oC. Isotype control antibody (Green line) was rabbit IgG (1 ug/million cells) used under the same conditions. Unlabelled sample without incubation with primary antibody and secondary antibody (Red line) was used as a blank control.
Availability 1-2 days
Species Reactivity Human, Mouse, Rat
Format Lyophilized
Clonality Polyclonal (rabbit origin)
Isotype Rabbit IgG
Purity Immunogen affinity purified
Buffer Each vial contains 4 mg Trehalose, 0.9 mg NaCl, 0.2 mg Na2HPO4.
UniProt Q8N3R9
Applications Western Blot : 0.25-0.5ug/ml
Immunohistochemistry : 2-5ug/ml
Immunoprecipitation : 2-4ug/500ug of lysate
Flow Cytometry : 1-3ug/million cells
ELISA : 0.1-0.5ug/ml
Limitations This PALS1 antibody is available for research use only.
Review this product on BioCompare and get a $20 Amazon gift card

Description

PALS1 antibody detects Protein associated with Lin seven 1, encoded by the MPP5 gene on chromosome 14q22.3. PALS1 antibody is widely used to study this scaffolding protein that organizes polarity complexes in epithelial cells. PALS1 belongs to the membrane-associated guanylate kinase (MAGUK) family and plays critical roles in apical-basal polarity, tight junction formation, and epithelial integrity. It is highly expressed in epithelial tissues such as kidney, liver, and intestine, as well as in neural tissues where polarity is fundamental to development.

Structurally, PALS1 contains PDZ, SH3, and GUK domains typical of MAGUK proteins, enabling it to form multiprotein complexes at cell-cell junctions. Its L27 domain mediates binding to PATJ, while its PDZ domain interacts with CRB3, forming the Crumbs polarity complex. Through these interactions, PALS1 anchors polarity proteins to the apical membrane and organizes tight junctions, ensuring epithelial barrier function. Alternative isoforms further diversify its regulatory roles in different tissues.

Functionally, PALS1 coordinates epithelial polarity and morphogenesis. By stabilizing the Crumbs complex, it controls apical domain identity and tight junction assembly. PALS1 also interacts with cytoskeletal regulators, influencing adhesion and vesicle trafficking. Loss of PALS1 disrupts epithelial polarity, leading to leaky barriers, impaired morphogenesis, and developmental defects. In neurons, PALS1 participates in synapse organization and neuronal migration. Researchers use PALS1 antibody to examine polarity, adhesion, and developmental signaling.

Clinically, mutations and reduced expression of PALS1 are linked to ocular and renal diseases. PALS1 deficiency is associated with retinal degeneration, congenital nephrotic syndrome, and hydrocephalus in model organisms. Aberrant expression has also been observed in cancers, where disruption of polarity complexes contributes to invasion and metastasis. As a polarity regulator, PALS1 represents a biomarker and potential therapeutic target in both epithelial and neurological disorders. NSJ Bioreagents supplies PALS1 antibody to support research in epithelial biology, cancer, and developmental disease.

Experimentally, PALS1 antibody is used in western blotting to detect the ~80 kDa protein, in immunofluorescence microscopy to visualize tight junctions, and in immunohistochemistry to assess epithelial expression. Co-immunoprecipitation with PALS1 antibody allows identification of polarity complex components and their dynamic regulation.

Application Notes

Optimal dilution of the PALS1 antibody should be determined by the researcher.

Immunogen

E.coli-derived human MPP5/PALS1 recombinant protein (Position: R86-D386) was used as the immunogen for the PALS1 antibody.

Storage

After reconstitution, the PALS1 antibody can be stored for up to one month at 4oC. For long-term, aliquot and store at -20oC. Avoid repeated freezing and thawing.

Cross
Bulk Quote Request Form
Name*:
Organization*:
Email*:
Phone Number*:
Catalog No.*:
Comments and Specifics(amount, formulation, etc.)*:
Validation code: Captchapackage Image


Can't read the image? click here to refresh.
    *required field

Your bulk quote request has been submitted successfully!

Please contact us if you have any questions.