• Tel: 858.663.9055
  • SeparatorEmail: info@nsjbio.com
  • Tel: 858.663.9055
  • Email: info@nsjbio.com
Home >> Antibodies >> PAK5 Antibody

PAK5 Antibody (F50894)

  Catalog No Formulation Size Price (USD)  
Image F50894-0.4ML In 1X PBS, pH 7.4, with 0.09% sodium azide 0.4 ml 429
Image
F50894-0.08ML In 1X PBS, pH 7.4, with 0.09% sodium azide 0.08 ml 199
Bulk quote request
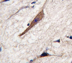
IHC analysis of FFPE human brain tissue stained with PAK5 antibody
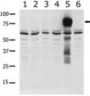
Western blot analysis of PAK5 antibody in lysate from transiently transfected COS7 cells. Lane 1: negative control, and transfected lysates 2: PAK1, 3: PAK2, 4: PAK4, 5: PAK5, and 6: PAK6-expressing cells.
Availability 1-3 business days
Species Reactivity Human
Format Purified
Clonality Polyclonal (rabbit origin)
Isotype Rabbit Ig
Purity Purified
UniProt Q9P286
Localization Cytoplasmic
Applications Western Blot : 1:1000
IHC (Paraffin) : 1:10-1:50
Limitations This PAK5 antibody is available for research use only.
Review this product on BioCompare and get a $20 Amazon gift card

Related Products

  • Applications : WB, IHC, ELISA
    Reactivity : Human, Mouse
    Pred. Reactivity : Rat
  • Applications : WB, IHC-P
    Reactivity : Human, Mouse, Rat

Description

PAK5 is a member of the PAK family of Ser/Thr protein kinases. PAK family members are known to be effectors of Rac/Cdc42 GTPases, which have been implicated in the regulation of cytoskeletal dynamics, proliferation, and cell survival signaling. This kinase contains a CDC42/Rac1 interactive binding (CRIB) motif, and has been shown to bind CDC42 in the presence of GTP. This kinase is predominantly expressed in brain. It is capable of promoting neurite outgrowth, and thus may play a role in neurite development. This kinase is associated with microtubule networks and induces microtubule stabilization. The subcellular localization of this kinase is tightly regulated during cell cycle progression.

Application Notes

Titration of the PAK5 antibody may be required due to differences in protocols and secondary/substrate sensitivity.

Immunogen

A portion of amino acids 168-198 from the human protein was used as the immunogen for this PAK5 antibody.

Storage

Aliquot the PAK5 antibody and store frozen at -20oC or colder. Avoid repeated freeze-thaw cycles.

Cross
Bulk Quote Request Form
Name*:
Organization*:
Email*:
Phone Number*:
Catalog No.*:
Comments and Specifics(amount, formulation, etc.)*:
Validation code: Captchapackage Image


Can't read the image? click here to refresh.
    *required field

Your bulk quote request has been submitted successfully!

Please contact us if you have any questions.