• Tel: 858.663.9055
  • SeparatorEmail: info@nsjbio.com
  • Tel: 858.663.9055
  • Email: info@nsjbio.com
Home >> Antibodies >> PAK3 Antibody / p21-activated kinase 3

PAK3 Antibody / p21-activated kinase 3 (R31839)

  Catalog No Formulation Size Price (USD)  
Image R31839 0.5mg/ml if reconstituted with 0.2ml sterile DI water 100 ug 439
Bulk quote request
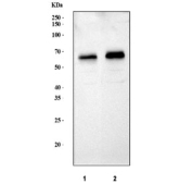
Western blot testing of 1) rat brain and 2) mouse brain lysate with PAK3 antibody. Expected/observed molecular weight ~62 kDa.
Western blot testing of 1) rat brain and 2) mouse brain lysate with PAK3 antibody. Expected/observed molecular weight ~62 kDa.
Availability 1-3 business days
Species Reactivity Mouse, Rat
Format Antigen affinity purified
Clonality Polyclonal (rabbit origin)
Isotype Rabbit IgG
Purity Antigen affinity
Buffer Lyophilized from 1X PBS with 2% Trehalose
UniProt O75914
Localization Cytoplasmic
Applications Western Blot : 0.5-1ug/ml
Limitations This PAK3 antibody is available for research use only.
Review this product on BioCompare and get a $20 Amazon gift card

Related Products

  • Applications : WB
    Reactivity : Human, Mouse, Rat
    Rab Mono Image
  • Applications : WB, IHC, ELISA
    Reactivity : Human, Mouse
    Pred. Reactivity : Rat, Xenopus
  • Applications : WB, IHC, ELISA
    Reactivity : Human

Description

Serine/threonine-protein kinase PAK 3 is an enzyme that in humans is encoded by the PAK3 gene. PAK proteins are critical effectors that link Rho GTPases to cytoskeleton reorganization and nuclear signaling. PAK proteins, a family of serine/threonine p21-activating kinases, serve as targets for the small GTP binding proteins Cdc42 and RAC and have been implicated in a wide range of biological activities. The protein encoded by this gene forms an activated complex with GTP-bound RAS-like (P21), CDC2 and RAC1 proteins which then catalyzes a variety of targets. This protein may be necessary for dendritic development and for the rapid cytoskeletal reorganization in dendritic spines associated with synaptic plasticity. Defects in this gene are the cause of non-syndromic mental retardation X-linked type 30 (MRX30), also called X-linked mental retardation type 47 (MRX47). Alternatively spliced transcript variants encoding different isoforms have been identified.

Application Notes

Optimal dilution of the PAK3 antibody should be determined by the researcher.

Immunogen

Amino acids APPLRMNSNNRDSSALNHSSKPLPMAPEEKNKKARLR of human PAK3 were used as the immunogen for the PAK3 antibody.

Storage

After reconstitution, the PAK3 antibody can be stored for up to one month at 4oC. For long-term, aliquot and store at -20oC. Avoid repeated freezing and thawing.

Cross
Bulk Quote Request Form
Name*:
Organization*:
Email*:
Phone Number*:
Catalog No.*:
Comments and Specifics(amount, formulation, etc.)*:
Validation code: Captchapackage Image


Can't read the image? click here to refresh.
    *required field

Your bulk quote request has been submitted successfully!

Please contact us if you have any questions.