• Tel: 858.663.9055
  • SeparatorEmail: info@nsjbio.com
  • Tel: 858.663.9055
  • Email: info@nsjbio.com
Home >> Antibodies >> PAK3 Antibody

PAK3 Antibody (F50892)

  Catalog No Formulation Size Price (USD)  
Image F50892-0.4ML In 1X PBS, pH 7.4, with 0.09% sodium azide 0.4 ml 429
Image
F50892-0.08ML In 1X PBS, pH 7.4, with 0.09% sodium azide 0.08 ml 199
Bulk quote request
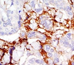
IHC analysis of FFPE human breast carcinoma tissue stained with the PAK3 antibody
Western blot analysis of PAK3 antibody and 293 cell lysate either nontransfected (Lane 1) or transiently transfected with the PAK3 gene (2). Expected molecular weight ~62 kDa.
Availability 1-3 business days
Species Reactivity Human
Format Purified
Clonality Polyclonal (rabbit origin)
Isotype Rabbit Ig
Purity Purified
UniProt O75914
Localization Cytoplasmic
Applications Western Blot : 1:1000
IHC (Paraffin) : 1:50-1:100
Limitations This PAK3 antibody is available for research use only.
Review this product on BioCompare and get a $20 Amazon gift card

Related Products

  • Applications : WB
    Reactivity : Human, Mouse, Rat
    Rab Mono Image
  • Applications : WB, IHC, ELISA
    Reactivity : Human, Mouse
    Pred. Reactivity : Rat, Xenopus
  • Applications : WB
    Reactivity : Mouse, Rat

Description

PAK3, a member of the STE20 subfamily of Ser/Thr protein kinases, acts on a variety of targets. PAK3 interacts tightly with GTP-bound but not GDP-bound CDC42/p21 and RAC1. It shows highly specific binding to the SH3 domains of phospholipase C-gamma and of adapter protein NCK. This protein is highly expressed in postmitotic neurons of the developing and postnatal cerebral cortex and hippocampus. PAK3 is autophosphorylated when activated by CDC42/p21. Defects in PAK3 are the cause of non-specific X-linked nonsyndromic mental retardation type 30 (MRX30). The protein structure contains 1 CRIB domain.

Application Notes

Titration of the PAK3 antibody may be required due to differences in protocols and secondary/substrate sensitivity.

Immunogen

A portion of amino acids 218-247 from the human protein was used as the immunogen for this PAK3 antibody.

Storage

Aliquot the PAK3 antibody and store frozen at -20oC or colder. Avoid repeated freeze-thaw cycles.

Cross
Bulk Quote Request Form
Name*:
Organization*:
Email*:
Phone Number*:
Catalog No.*:
Comments and Specifics(amount, formulation, etc.)*:
Validation code: Captchapackage Image


Can't read the image? click here to refresh.
    *required field

Your bulk quote request has been submitted successfully!

Please contact us if you have any questions.