• Tel: 858.663.9055
  • SeparatorEmail: info@nsjbio.com
  • Tel: 858.663.9055
  • Email: info@nsjbio.com
Home >> Antibodies >> PAK3 Antibody

PAK3 Antibody (F43370)

  Catalog No Formulation Size Price (USD)  
Image F43370-0.4ML In 1X PBS, pH 7.4, with 0.09% sodium azide 0.4 ml 429
Image
F43370-0.08ML In 1X PBS, pH 7.4, with 0.09% sodium azide 0.08 ml 199
Bulk quote request
Western blot analysis of lysate from human 1) HeLa, and 2) Jurkat cell line using PAK3 antibody at 1:1000. Expected molecular weight ~62 kDa.
Western blot analysis of lysate from mouse NIH3T3 cell line using PAK3 antibody diluted at 1:1000 for each lane. Expected molecular weight ~62 kDa.
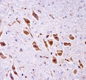
PAK3 antibody immunohistochemistry analysis in formalin fixed and paraffin embedded mouse brain tissue.
Availability 1-3 business days
Species Reactivity Human, Mouse
Predicted Reactivity Rat, Xenopus
Format Antigen affinity purified
Clonality Polyclonal (rabbit origin)
Isotype Rabbit Ig
Purity Antigen affinity
UniProt Q61036
Localization Cytoplasmic
Applications Western Blot : 1:1000
Immunohistochemistry (Paraffin) : 1:10-1:50
Limitations This PAK3 antibody is available for research use only.
Review this product on BioCompare and get a $20 Amazon gift card

Related Products

Description

Key regulator of synapse formation and plasticity in the hippocampus.

Application Notes

Titration of the PAK3 antibody may be required due to differences in protocols and secondary/substrate sensitivity.

Immunogen

A portion of amino acids 124-152 from the mouse protein was used as the immunogen for this PAK3 antibody.

Storage

Aliquot the PAK3 antibody and store frozen at -20oC or colder. Avoid repeated freeze-thaw cycles.

Cross
Bulk Quote Request Form
Name*:
Organization*:
Email*:
Phone Number*:
Catalog No.*:
Comments and Specifics(amount, formulation, etc.)*:
Validation code: Captchapackage Image


Can't read the image? click here to refresh.
    *required field

Your bulk quote request has been submitted successfully!

Please contact us if you have any questions.