• Tel: 858.663.9055
  • SeparatorEmail: info@nsjbio.com
  • Tel: 858.663.9055
  • Email: info@nsjbio.com
Home >> Antibodies >> Paired box 3 Antibody / PAX3

Paired box 3 Antibody / PAX3 [clone PAX3/8424] (V5772)

  Catalog No Formulation Size Price (USD)  
Image V5772-100UG 0.2 mg/ml in 1X PBS with 0.1 mg/ml BSA (US sourced), 0.05% sodium azide 100 ug 539
Image
V5772-20UG 0.2 mg/ml in 1X PBS with 0.1 mg/ml BSA (US sourced), 0.05% sodium azide 20 ug 249
Image
V5772SAF-100UG 1 mg/ml in 1X PBS; BSA free, sodium azide free 100 ug 539
Bulk quote request
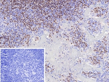
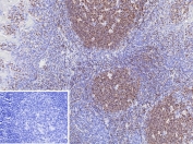
IHC staining of FFPE human tonsil tissue with Paired box 3 antibody (clone PAX3/8424). Inset: PBS used in place of primary Ab (secondary Ab negative control). HIER: boil tissue sections in pH 9 10mM Tris with 1mM EDTA for 20 min and allow to cool before testing.
IHC staining of FFPE human tonsil tissue with Paired box 3 antibody (clone PAX3/8424). Inset: PBS used in place of primary Ab (secondary Ab negative control). HIER: boil tissue sections in pH 9 10mM Tris with 1mM EDTA for 20 min and allow to cool before testing.
Availability 1-3 business days
Species Reactivity Human
Format Purified
Clonality Monoclonal (mouse origin)
Isotype Mouse IgG1, kappa
Clone Name PAX3/8424
Purity Protein G affinity
UniProt P23760
Localization Nucleus
Applications Immunohistochemistry (FFPE) : 1-2ug/ml
Limitations This Paired box 3 antibody is available for research use only.
Review this product on BioCompare and get a $20 Amazon gift card

Related Products

  • Applications : ELISA
    Reactivity : Human
  • Applications : IHC-P
    Reactivity : Human
  • Applications : IHC, FACS, WB, ELISA
    Reactivity : Human
    Pred. Reactivity : Mouse
  • Applications : WB, ELISA (peptide)
    Reactivity : Human, Mouse, Rat
    Pred. Reactivity : Cow, Dog, Pig
  • Applications : WB, IHC-P, ELISA (peptide)
    Reactivity : Human
    Pred. Reactivity : Mouse, Rat, Cow
  • Applications : WB, ELISA (peptide)
    Reactivity : Human
    Pred. Reactivity : Cow, Mouse, Rat
  • Applications : WB, FACS, Direct ELISA
    Reactivity : Human, Mouse, Rat
  • Applications : WB, ICC, IF, ELISA
    Reactivity : Human

Description

Pax genes contain paired domains that share strong homology to genes in Drosophila which are involved in programming early development. The product of the PAX3 gene is a DNA-binding protein expressed during early neurogenesis. Pax-3 is a protein containing both a paired domain and a paired-type homeodomain. During early neurogenesis, Pax-3 expression is limited to mitotic cells in the ventricular zone of the developing spinal cord and to distinct regions in the hindbrain, midbrain and diencephalon. In 10-12 day embryos, expression of Pax-3 is also seen in neural crest cells of the developing spinal ganglia, the craniofacial mesectoderm and in limb mesenchyme. Mutations in the MITF and Pax-3 genes, encoding transcription factors, are responsible for Waardenburg syndrome II (WSII) and WSI/WSIII, respectively.

Application Notes

Optimal dilution of the Paired box 3 antibody should be determined by the researcher.

Immunogen

A portion of amino acids 150-350 from human PAX3 protein was used as the immunogen for the Paired box 3 antibody.

Storage

Aliquot the Paired box 3 antibody and store frozen at -20oC or colder. Avoid repeated freeze-thaw cycles.

Cross
Bulk Quote Request Form
Name*:
Organization*:
Email*:
Phone Number*:
Catalog No.*:
Comments and Specifics(amount, formulation, etc.)*:
Validation code: Captchapackage Image


Can't read the image? click here to refresh.
    *required field

Your bulk quote request has been submitted successfully!

Please contact us if you have any questions.