• Tel: 858.663.9055
  • SeparatorEmail: info@nsjbio.com
  • Tel: 858.663.9055
  • Email: info@nsjbio.com
Home >> Antibodies >> PAICS Antibody / AIRC / ADE2

PAICS Antibody / AIRC / ADE2 (RQ8499)

  Catalog No Formulation Size Price (USD)  
Image RQ8499 0.5mg/ml if reconstituted with 0.2ml sterile DI water 100 ug 439
Bulk quote request
Flow cytometry testing of fixed and permeabilized human PC-3 cells with PAICS antibody at 1ug/million cells (blocked with goat sera); Red=cells alone, Green=isotype control, Blue= PAICS antibody.
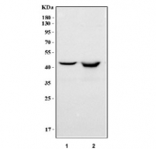
Western blot testing of human 1) K562 and 2) Raji cell lysate with PAICS antibody. Predicted molecular weight ~47 kDa.
Availability 1-3 days
Species Reactivity Human
Format Antigen affinity purified
Clonality Polyclonal (rabbit origin)
Isotype Rabbit IgG
Purity Antigen affinity purified
Buffer Lyophilized from 1X PBS with 2% Trehalose
UniProt P22234
Applications Western Blot : 0.5-1ug/ml
Flow Cytometry : 1-3ug/million cells
ELISA : 0.1-0.5ug/ml
Limitations This PAICS antibody is available for research use only.
Review this product on BioCompare and get a $20 Amazon gift card

Related Products

Description

This gene encodes a bifunctional enzyme containing phosphoribosylaminoimidazole carboxylase activity in its N-terminal region and phosphoribosylaminoimidazole succinocarboxamide synthetase in its C-terminal region. It catalyzes steps 6 and 7 of purine biosynthesis. The gene is closely linked and divergently transcribed with a locus that encodes an enzyme in the same pathway, and transcription of the two genes is coordinately regulated. The human genome contains several pseudogenes of this gene. Multiple transcript variants encoding different isoforms have been found for this gene.

Application Notes

Optimal dilution of the PAICS antibody should be determined by the researcher.

Immunogen

An E.coli-derived human recombinant protein (amino acids Q69-L425) was used as the immunogen for the PAICS antibody.

Storage

After reconstitution, the PAICS antibody can be stored for up to one month at 4oC. For long-term, aliquot and store at -20oC. Avoid repeated freezing and thawing.

Cross
Bulk Quote Request Form
Name*:
Organization*:
Email*:
Phone Number*:
Catalog No.*:
Comments and Specifics(amount, formulation, etc.)*:
Validation code: Captchapackage Image


Can't read the image? click here to refresh.
    *required field

Your bulk quote request has been submitted successfully!

Please contact us if you have any questions.