• Tel: 858.663.9055
  • SeparatorEmail: info@nsjbio.com
  • Tel: 858.663.9055
  • Email: info@nsjbio.com
Home >> Antibodies >> PAFAH1B2 Antibody / Platelet-activating factor acetylhydrolase IB subunit beta

PAFAH1B2 Antibody / Platelet-activating factor acetylhydrolase IB subunit beta (FY12786)

  Catalog No Formulation Size Price (USD)  
Image FY12786 Adding 0.2 ml of distilled water will yield a concentration of 500 ug/ml 100 ug 439
Bulk quote request
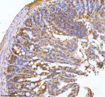
Immunohistochemical staining of PAFAH1B2 using anti-PAFAH1B2 antibody. PAFAH1B2 was detected in a paraffin-embedded section of rat colon tissue. Heat mediated antigen retrieval was performed in EDTA buffer (pH 8.0, epitope retrieval solution). The tissue section was blocked with 10% goat serum. The tissue section was then incubated with 2 ug/ml rabbit anti-PAFAH1B2 antibody overnight at 4oC. Peroxidase Conjugated Goat Anti-rabbit IgG was used as secondary antibody and incubated for 30 minutes at 37oC. The tissue section was developed using an HRP secondary and DAB substrate.
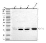
Western blot analysis of PAFAH1B2 using anti-PAFAH1B2 antibody. Lane 1: human 293T whole cell lysates, Lane 2: human HEL whole cell lysates, Lane 3: human Caco-2 whole cell lysates, Lane 4: mouse testis tissue lysates. After electrophoresis, proteins were transferred to a nitrocellulose membrane at 150 mA for 50-90 minutes. Blocked the membrane with 5% non-fat milk/TBS for 1.5 hour at RT. The membrane was incubated with rabbit anti-PAFAH1B2 antibody at 0.5 ug/ml overnight at 4oC, then washed with TBS-0.1%Tween 3 times with 5 minutes each and probed with a goat anti-rabbit IgG-HRP secondary antibody at a dilution of 1:5000 for 1.5 hour at RT. The signal was developed using enhanced chemiluminescent. A ~26-27 kDa doublet is observed, consistent with phosphorylation dependent and minor processing related mobility differences of the enzyme.
Immunohistochemical staining of PAFAH1B2 using anti-PAFAH1B2 antibody. PAFAH1B2 was detected in a paraffin-embedded section of mouse colon tissue. Heat mediated antigen retrieval was performed in EDTA buffer (pH 8.0, epitope retrieval solution). The tissue section was blocked with 10% goat serum. The tissue section was then incubated with 2 ug/ml rabbit anti-PAFAH1B2 antibody overnight at 4oC. Peroxidase Conjugated Goat Anti-rabbit IgG was used as secondary antibody and incubated for 30 minutes at 37oC. The tissue section was developed using an HRP secondary and DAB substrate.
Availability 1-2 days
Species Reactivity Human, Mouse, Rat
Format Lyophilized
Clonality Polyclonal (rabbit origin)
Isotype Rabbit IgG
Purity Immunogen affinity purified
Buffer Each vial contains 4 mg Trehalose, 0.9 mg NaCl, 0.2 mg Na2HPO4.
UniProt P68402
Localization Cytoplasm
Applications Western Blot : 0.25-0.5ug/ml
Immunohistochemistry : 2-5ug/ml
ELISA : 0.1-0.5ug/ml
Limitations This PAFAH1B2 antibody is available for research use only.
Review this product on BioCompare and get a $20 Amazon gift card

Description

PAFAH1B2 antibody detects Platelet-activating factor acetylhydrolase IB subunit beta, an intracellular enzyme that regulates phospholipid metabolism and brain development. Encoded by the PAFAH1B2 gene on chromosome 11q23.3, this enzyme forms part of the trimeric PAF acetylhydrolase IB complex, which catalyzes the hydrolysis of platelet-activating factor (PAF) and other bioactive phospholipids. The complex consists of one regulatory subunit (LIS1/PAFAH1B1) and two catalytic subunits (PAFAH1B2 and PAFAH1B3), together maintaining membrane lipid homeostasis and neuronal signaling.

PAFAH1B2 acts as a cytoplasmic serine hydrolase that removes acetyl groups from PAF, reducing its proinflammatory activity. Beyond lipid metabolism, it contributes to neuronal migration and brain development through its association with LIS1, which regulates microtubule dynamics and dynein-mediated transport. Mutations or dysfunction in components of this complex are associated with lissencephaly and neurodevelopmental defects.

The PAFAH1B2 antibody is widely used in neuroscience, lipid signaling, and developmental biology research to investigate lipid hydrolysis, microtubule regulation, and neuronal migration. Western blot analysis identifies a 26 kilodalton band corresponding to PAFAH1B2, while immunofluorescence reveals cytoplasmic localization that overlaps with microtubule structures in neurons. This antibody enables detection of the catalytic subunit in both neuronal and non-neuronal tissues, supporting studies of phospholipid turnover and signaling.

PAFAH1B2 also plays roles in inflammation and oxidative stress by modulating PAF levels. Abnormal expression has been linked to neuroinflammation and ischemic injury, as well as cancer metabolism where lipid mediators regulate proliferation. The PAFAH1B2 antibody provides a reliable reagent for exploring these processes. NSJ Bioreagents validates this antibody for western blotting and immunohistochemistry, ensuring accuracy for phospholipid and developmental signaling research.

Application Notes

Optimal dilution of the PAFAH1B2 antibody should be determined by the researcher.

Immunogen

E.coli-derived human PAFAH1B2 recombinant protein (Position: D5-D190) was used as the immunogen for the PAFAH1B2 antibody.

Storage

After reconstitution, the PAFAH1B2 antibody can be stored for up to one month at 4oC. For long-term, aliquot and store at -20oC. Avoid repeated freezing and thawing.

Cross
Bulk Quote Request Form
Name*:
Organization*:
Email*:
Phone Number*:
Catalog No.*:
Comments and Specifics(amount, formulation, etc.)*:
Validation code: Captchapackage Image


Can't read the image? click here to refresh.
    *required field

Your bulk quote request has been submitted successfully!

Please contact us if you have any questions.