• Tel: 858.663.9055
  • SeparatorEmail: info@nsjbio.com
  • Tel: 858.663.9055
  • Email: info@nsjbio.com
Home >> Antibodies >> PACT Antibody / PRKRA

PACT Antibody / PRKRA (RQ7025)

  Catalog No Formulation Size Price (USD)  
Image RQ7025 0.5mg/ml if reconstituted with 0.2ml sterile DI water 100 ug 439
Bulk quote request
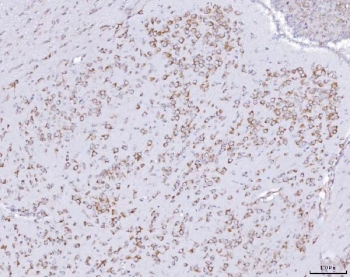
IHC staining of FFPE mouse brain tissue with PACT antibody. HIER: boil tissue sections in pH8 EDTA for 20 min and allow to cool before testing.
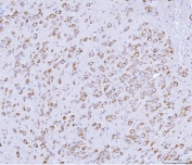
IHC staining of FFPE rat brain tissue with PACT antibody. HIER: boil tissue sections in pH8 EDTA for 20 min and allow to cool before testing.
Western blot testing of 1) human HeLa, 2) human K562, 3) human HepG2, 4) rat testis, 5) rat PC-12 and 6) mouse testis tissue with PACT antibody. Predicted molecular weight: 32-34 kDa.
Flow cytometry testing of human K562 cells with PACT antibody at 1ug/million cells (blocked with goat sera); Red=cells alone, Green=isotype control, Blue= PACT antibody.
Availability 1-3 business days
Species Reactivity Human, Mouse, Rat
Format Antigen affinity purified
Clonality Polyclonal (rabbit origin)
Isotype Rabbit IgG
Purity Antigen affinity purified
Buffer Lyophilized from 1X PBS with 2% Trehalose
UniProt O75569
Applications Western Blot : 0.5-1 ug/ml
Immunohistochemistry (FFPE) : 2-5ug/ml
Flow Cytometry : 1-3ug/million cells
Direct ELISA : 0.1-0.5ug/ml
Limitations This PACT antibody is available for research use only.
Review this product on BioCompare and get a $20 Amazon gift card

Description

Protein kinase, interferon-inducible double stranded RNA dependent activator, also known as interferon-inducible double stranded RNA-dependent protein kinase activator A or Protein ACTivator of the interferon-induced protein kinase (PACT) is a protein that in humans is encoded by the PRKRA gene. This gene encodes a protein kinase activated by double-stranded RNA which mediates the effects of interferon in response to viral infection. Mutations in this gene have been associated with dystonia. Alternative splicing results in multiple transcript variants.

Application Notes

Optimal dilution of the PACT antibody should be determined by the researcher.

Immunogen

Recombinant human protein (amino acids A154-K313) was used as the immunogen for the PACT antibody.

Storage

After reconstitution, the PACT antibody can be stored for up to one month at 4oC. For long-term, aliquot and store at -20oC. Avoid repeated freezing and thawing.

Cross
Bulk Quote Request Form
Name*:
Organization*:
Email*:
Phone Number*:
Catalog No.*:
Comments and Specifics(amount, formulation, etc.)*:
Validation code: Captchapackage Image


Can't read the image? click here to refresh.
    *required field

Your bulk quote request has been submitted successfully!

Please contact us if you have any questions.