• Tel: 858.663.9055
  • SeparatorEmail: info@nsjbio.com
  • Tel: 858.663.9055
  • Email: info@nsjbio.com
Home >> Antibodies >> PACSIN2 Antibody

PACSIN2 Antibody (F53991)

  Catalog No Formulation Size Price (USD)  
Image F53991-0.4ML In 1X PBS, pH 7.4, with 0.09% sodium azide 0.4 ml 429
Image
F53991-0.08ML In 1X PBS, pH 7.4, with 0.09% sodium azide 0.08 ml 199
Bulk quote request
Western blot testing of 1) human Daudi, 2) human HL-60, 3) mouse brain and 4) mouse heart lysate with PACSIN2 antibody at 1:1000. Predicted molecular weight: 56 kDa.
Immunofluorescence testing of HeLa cells with PACSIN2 antibody (green) and Actin Ab (red) at 1:100.
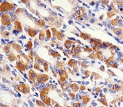
IHC testing of FFPE human stomach with PACSIN2 antibody at 1:100. HIER: steamed with pH6 citrate buffer.
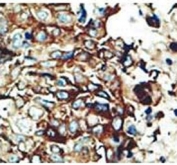
IHC testing of FFPE human breast cancer with PACSIN2 antibody at 1:50. HIER: steamed with pH6 citrate buffer.
Availability 1-3 business days
Species Reactivity Human, Mouse
Format Antigen affinity purified
Clonality Polyclonal (rabbit origin)
Isotype Rabbit Ig
Purity Protein G affinity chromatography
UniProt Q9UNF0
Localization Cytoplasmic
Applications Western Blot : 1:500-1:1000
IHC (FFPE) : 1:50-100
Immunofluorescence : 1:100
Limitations This PACSIN2 antibody is available for research use only.
Review this product on BioCompare and get a $20 Amazon gift card

Related Products

  • Applications : WB
    Reactivity : Human, Mouse
  • Applications : WB, IHC-P, IF, FACS, Direct ELISA
    Reactivity : Human, Mouse, Rat, Monkey

Description

Protein kinase C and casein kinase substrate in neurons protein 2 is a lipid-binding protein that is able to promote the tubulation of the phosphatidic acid-containing membranes it preferentially binds. Plays a role in intracellular vesicle- mediated transport. Involved in the endocytosis of cell-surface receptors like the EGF receptor, contributing to its internalization in the absence of EGF stimulus. May also play a role in the formation of caveolae at the cell membrane. Recruits DNM2 to caveolae, and thereby plays a role in caveola-mediated endocytosis.

Application Notes

Titration of the PACSIN2 antibody may be required due to differences in protocols and secondary/substrate sensitivity.

Immunogen

A portion of amino acids 342-371 from the human protein was used as the immunogen for the PACSIN2 antibody.

Storage

Aliquot the PACSIN2 antibody and store frozen at -20oC or colder. Avoid repeated freeze-thaw cycles.

Cross
Bulk Quote Request Form
Name*:
Organization*:
Email*:
Phone Number*:
Catalog No.*:
Comments and Specifics(amount, formulation, etc.)*:
Validation code: Captchapackage Image


Can't read the image? click here to refresh.
    *required field

Your bulk quote request has been submitted successfully!

Please contact us if you have any questions.