• Tel: 858.663.9055
  • SeparatorEmail: info@nsjbio.com
  • Tel: 858.663.9055
  • Email: info@nsjbio.com
Home >> Antibodies >> p47phox Antibody / NCF1

p47phox Antibody / NCF1 (R35891)

  Catalog No Formulation Size Price (USD)  
Image R35891-100UG 0.5 mg/ml in 1X TBS, pH7.3, with 0.5% BSA (US sourced) and 0.02% sodium azide 100 ug 449
Bulk quote request
Western blot testing of human U937 lysate with p47phox antibody at 0.2ug/ml. Expected/observed molecular weight ~47 kDa.
Western blot testing of mouse thymus (A) and pig spleen (B) lysate with p47phox antibody at 1ug/ml. Expected/observed molecular weight ~47 kDa.
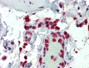
IHC testing of FFPE human colon tissue with p47phox antibody at 5ug/ml. Steamed antigen retrieval with citrate buffer pH 6, AP-staining.
Availability 1-3 business days
Species Reactivity Human, Mouse, Pig
Predicted Reactivity Rat, Cow, Rabbit
Format Antigen affinity purified
Clonality Polyclonal (goat origin)
Isotype Goat Ig
Purity Antigen affinity
Gene ID 653361
Applications Western Blot : 0.5-1.5ug/ml
IHC (FFPE) : 5ug/ml
ELISA (peptide) LOD : 1:20000
Limitations This p47phox antibody is available for research use only.
Review this product on BioCompare and get a $20 Amazon gift card

Related Products

Description

Additional name(s) for this target protein: Neutrophil cytosolic factor 1 (47kD, chronic granulomatous disease, autosomal 1); NCF1

Application Notes

Optimal dilution of the p47phox antibody should be determined by the researcher.

Immunogen

Amino acids SESTKRKLASAV were used as the immunogen for this p47phox antibody.

Storage

Aliquot and store the p47phox antibody at -20oC.

Cross
Bulk Quote Request Form
Name*:
Organization*:
Email*:
Phone Number*:
Catalog No.*:
Comments and Specifics(amount, formulation, etc.)*:
Validation code: Captchapackage Image


Can't read the image? click here to refresh.
    *required field

Your bulk quote request has been submitted successfully!

Please contact us if you have any questions.