• Tel: 858.663.9055
  • SeparatorEmail: info@nsjbio.com
  • Tel: 858.663.9055
  • Email: info@nsjbio.com
Home >> Antibodies >> p38 MAPK Antibody / MAPK14

p38 MAPK Antibody / MAPK14 [clone 5A1-C5-F11] (F54021)

  Catalog No Formulation Size Price (USD)  
Image F54021-0.1ML In PBS with 50% glycerol and 0.03% ProClin 300 0.1 ml 429
Bulk quote request
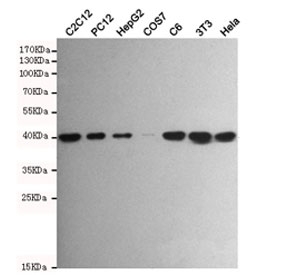
Western blot testing of mouse C2C12, rat PC12, human HepG2, monkey COS7, rat C6, mouse NIH3T3 and human HeLa cell lysates with p38 MAPK antibody at 1:500. Predicted molecular weight: 38-41 kDa.
Availability 1-3 business days
Species Reactivity Human, Mouse, Rat, Primate
Format Purified
Clonality Monoclonal (mouse origin)
Isotype Mouse IgG1
Clone Name 5A1-C5-F11
Purity Protein G affinity
UniProt Q16539
Applications Western Blot : 1:500
Limitations This p38 MAPK antibody is available for research use only.
Review this product on BioCompare and get a $20 Amazon gift card

Related Products

Description

Serine/threonine kinase which acts as an essential component of the MAP kinase signal transduction pathway. MAPK14 is one of the four p38 MAPKs which play an important role in the cascades of cellular responses evoked by extracellular stimuli such as proinflammatory cytokines or physical stress leading to direct activation of transcription factors. Accordingly, p38 MAPKs phosphorylate a broad range of proteins and it has been estimated that they may have approximately 200 to 300 substrates each.

Application Notes

The stated application concentrations are suggested starting points. Titration of the p38 MAPK antibody may be required due to differences in protocols and secondary/substrate sensitivity.

Immunogen

A human recombinant partial protein was used as the immunogen for this MAPK14 / p38 MAPK antibody.

Storage

Store the p38 MAPK antibody at -20oC.

Cross
Bulk Quote Request Form
Name*:
Organization*:
Email*:
Phone Number*:
Catalog No.*:
Comments and Specifics(amount, formulation, etc.)*:
Validation code: Captchapackage Image


Can't read the image? click here to refresh.
    *required field

Your bulk quote request has been submitted successfully!

Please contact us if you have any questions.