• Tel: 858.663.9055
  • SeparatorEmail: info@nsjbio.com
  • Tel: 858.663.9055
  • Email: info@nsjbio.com
Home >> Antibodies >> p16 ARC Antibody / ARPC5

p16 ARC Antibody / ARPC5 [clone CCD-1] (RQ4729)

  Catalog No Formulation Size Price (USD)  
Image RQ4729 Antibody in PBS with 0.02% sodium azide, 50% glycerol and 0.4-0.5mg/ml BSA 100 ul 439
Microvalidated Rab Mono Image
Bulk quote request
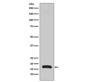
Western blot testing of human fetal brain lysate with p16 ARC antibody. Predicted molecular weight ~16 kDa.
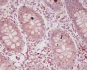
IHC staining of FFPE human colon tissue with p16 ARC antibody. HIER: boil tissue sections in pH6, 10mM citrate buffer, for 10-20 min and allow to cool before testing.
Availability 1-2 weeks
Species Reactivity Human
Format Purified
Clonality Rabbit Monoclonal
Isotype Rabbit IgG
Clone Name CCD-1
Purity Affinity purified
UniProt O15511
Applications Western Blot : 1:500-1:2000
Immunohistochemistry (FFPE) : 1:50-1:100
Limitations This p16 ARC antibody is available for research use only.
Review this product on BioCompare and get a $20 Amazon gift card

Related Products

Description

The ARPC5 gene encodes one of seven subunits of the human Arp2/3 protein complex. The Arp2/3 protein complex has been implicated in the control of actin polymerization in cells and has been conserved through evolution.

Application Notes

Optimal dilution of the p16 ARC antibody should be determined by the researcher.

Immunogen

A synthetic peptide specific to human p16 ARC / ARPC5 was used as the immunogen for the p16 ARC antibody.

Storage

Store the p16 ARC antibody at -20oC.

Cross
Bulk Quote Request Form
Name*:
Organization*:
Email*:
Phone Number*:
Catalog No.*:
Comments and Specifics(amount, formulation, etc.)*:
Validation code: Captchapackage Image


Can't read the image? click here to refresh.
    *required field

Your bulk quote request has been submitted successfully!

Please contact us if you have any questions.