• Tel: 858.663.9055
  • SeparatorEmail: info@nsjbio.com
  • Tel: 858.663.9055
  • Email: info@nsjbio.com
Home >> Antibodies >> P Glycoprotein Antibody

P Glycoprotein Antibody (R30136)

  Catalog No Formulation Size Price (USD)  
Image R30136 0.5mg/ml if reconstituted with 0.2ml sterile DI water 100 ug 439
Bulk quote request
IHC-P: P Glycoprotein antibody testing of human lung cancer tissue
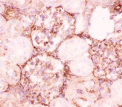
IHC-P: P Glycoprotein antibody testing of mouse kidney tissue
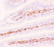
IHC-F testing of mouse intestine tissue
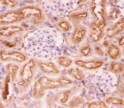
IHC-P: P Glycoprotein antibody testing of rat kidney tissue
IHC-F testing of rat kidney tissue
Availability 1-3 business days
Species Reactivity Human, Mouse, Rat
Format Antigen affinity purified
Clonality Polyclonal (rabbit origin)
Isotype Rabbit IgG
Purity Antigen affinity
Buffer Lyophilized from 1X PBS with 2.5% BSA and 0.025% sodium azide/thimerosal
Gene ID 5243
Applications IHC (FFPE) : 0.5-1ug/ml
IHC (Frozen) : 0.5-1ug/ml
Limitations This P Glycoprotein antibody is available for research use only.
Review this product on BioCompare and get a $20 Amazon gift card

Related Products

Description

P Glycoprotein, also called MDR1, P-GP, and PGY1, is a protein that in humans is encoded by the ABCB1 gene. It is mapped to 7q21.12. It is a well-characterized ABC-transporter (which transports a wide variety of substrates across extra- and intracellular membranes) of the MDR/TAP subfamily. It is an important protein of the cell membrane that pumps many foreign substances out of cells. More formally, it is an ATP-dependent drug efflux pump with broad substrate specificity. P Glycoprotein is an ATP-dependent drug efflux pump forxenobiotic compounds with broad substrate specificity. It is responsible for decreased drug accumulation in multidrug-resistant cells and often mediates the development of resistance to anticancer drugs. This protein also functions as a transporter in the blood–brain barrier.

Application Notes

The stated application concentrations are suggested starting amounts. Titration of the P Glycoprotein antibody may be required due to differences in protocols and secondary/substrate sensitivity.

Immunogen

Amino acids IYFKLVTMQTAGNEVELENAADESKSEIDA were used as the immunogen for this P Glycoprotein antibody.

Storage

After reconstitution, the P Glycoprotein antibody can be stored for up to one month at 4oC. For long-term, aliquot and store at -20oC. Avoid repeated freezing and thawing.

Cross
Bulk Quote Request Form
Name*:
Organization*:
Email*:
Phone Number*:
Catalog No.*:
Comments and Specifics(amount, formulation, etc.)*:
Validation code: Captchapackage Image


Can't read the image? click here to refresh.
    *required field

Your bulk quote request has been submitted successfully!

Please contact us if you have any questions.