• Tel: 858.663.9055
  • SeparatorEmail: info@nsjbio.com
  • Tel: 858.663.9055
  • Email: info@nsjbio.com
Home >> Antibodies >> P Glycoprotein Antibody / MDR1 / ABCB1

P Glycoprotein Antibody / MDR1 / ABCB1 (RQ6915)

  Catalog No Formulation Size Price (USD)  
Image RQ6915 0.5mg/ml if reconstituted with 0.2ml sterile DI water 100 ug 439
Bulk quote request
Flow cytometry testing of human Caco-2 cells with P Glycoprotein antibody at 1ug/million cells (blocked with goat sera); Red=cells alone, Green=isotype control, Blue= P Glycoprotein antibody.
Western blot testing of human 1) DLD1 and 2) HUH-7 cell lysate with P Glycoprotein antibody. Expected molecular weight: 141-180 kDa depending on glycosylation level.
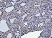
IHC staining of FFPE human thyroid cancer tissue with P Glycoprotein antibody. HIER: boil tissue sections in pH8 EDTA for 20 min and allow to cool before testing.
IHC staining of FFPE human liver cancer tissue with P Glycoprotein antibody. HIER: boil tissue sections in pH8 EDTA for 20 min and allow to cool before testing.
Availability 1-3 business days
Species Reactivity Human
Format Antigen affinity purified
Clonality Polyclonal (rabbit origin)
Isotype Rabbit IgG
Purity Antigen affinity purified
Buffer Lyophilized from 1X PBS with 2% Trehalose
UniProt P08183
Localization Cytoplasm, cell membrane
Applications Western Blot : 0.5-1 ug/ml
Flow Cytometry : 1-3ug/million cells
Immunohistochemistry (FFPE) : 2-5ug/ml
Direct ELISA : 0.1-0.5ug/ml
Limitations This P Glycoprotein antibody is available for research use only.
Review this product on BioCompare and get a $20 Amazon gift card

Related Products

Description

P-GP, also called ABCB1 or PGY1, is a glycoprotein that in humans is encoded by the ABCB1 gene. It is mapped to 7q21.12. P-GP is a well-characterized ABC-transporter (which transports a wide variety of substrates across extra- and intracellular membranes) of the MDR/TAP subfamily. It is an important protein of the cell membrane that pumps many foreign substances out of cells. More formally, it is an ATP-dependent drug efflux pump with broad substrate specificity. P-GP is an ATP-dependent drug efflux pump forxenobiotic compounds with broad substrate specificity. It is responsible for decreased drug accumulation in multidrug-resistant cells and often mediates the development of resistance to anticancer drugs. This protein also functions as a transporter in the blood-brain barrier.

Application Notes

Optimal dilution of the P Glycoprotein antibody should be determined by the researcher.

Immunogen

Recombinant human P Glycoprotein/ABCB1 protein (amino acids M1-E690) was used as the immunogen for the P Glycoprotein antibody.

Storage

After reconstitution, the P Glycoprotein antibody can be stored for up to one month at 4oC. For long-term, aliquot and store at -20oC. Avoid repeated freezing and thawing.

Cross
Bulk Quote Request Form
Name*:
Organization*:
Email*:
Phone Number*:
Catalog No.*:
Comments and Specifics(amount, formulation, etc.)*:
Validation code: Captchapackage Image


Can't read the image? click here to refresh.
    *required field

Your bulk quote request has been submitted successfully!

Please contact us if you have any questions.