• Tel: 858.663.9055
  • SeparatorEmail: info@nsjbio.com
  • Tel: 858.663.9055
  • Email: info@nsjbio.com
Home >> Antibodies >> OXSM Antibody / 3 oxoacyl ACP synthase mitochondrial

OXSM Antibody / 3 oxoacyl ACP synthase mitochondrial (RQ7933)

  Catalog No Formulation Size Price (USD)  
Image RQ7933 0.5mg/ml if reconstituted with 0.2ml sterile DI water 100 ug 439
Bulk quote request
IHC staining of FFPE human endometrial adenocarcinoma tissue with OXSM antibody. HIER: boil tissue sections in pH8 EDTA for 20 min and allow to cool before testing.
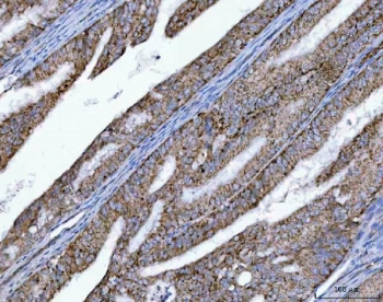
IHC staining of FFPE human esophageal squamous carcinoma tissue with OXSM antibody. HIER: boil tissue sections in pH8 EDTA for 20 min and allow to cool before testing.
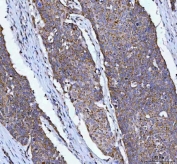
IHC staining of FFPE human liver cancer tissue with OXSM antibody. HIER: boil tissue sections in pH8 EDTA for 20 min and allow to cool before testing.
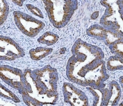
IHC staining of FFPE human colorectal adenocarcinoma tissue with OXSM antibody. HIER: boil tissue sections in pH8 EDTA for 20 min and allow to cool before testing.
Immunofluorescent staining of FFPE human PC-3 cells with OXSM antibody (red) and DAPI nuclear stain (blue). HIER: steam section in pH6 citrate buffer for 20 min.
Western blot testing of 1) human HeLa, 2) human HepG2 and 3) rat heart tissue lysate with OXSM antibody. Predicted molecular weight ~40/49 kDa (two isoforms).
Flow cytometry testing of human MCF7 cells with OXSM antibody at 1ug/million cells (blocked with goat sera); Red=cells alone, Green=isotype control, Blue= OXSM antibody.
Availability 1-3 business days
Species Reactivity Human, Rat
Format Antigen affinity purified
Clonality Polyclonal (rabbit origin)
Isotype Rabbit IgG
Purity Antigen affinity purified
Buffer Lyophilized from 1X PBS with 2% Trehalose
UniProt Q9NWU1
Localization Cytoplasmic
Applications Western Blot : 0.5-1ug/ml
Immunohistochemistry (FFPE) : 2-5ug/ml
Immunofluorescence (FFPE) : 5ug/ml
Flow Cytometry : 1-3ug/million cells
Direct ELISA : 0.1-0.5ug/ml
Limitations This OXSM antibody is available for research use only.
Review this product on BioCompare and get a $20 Amazon gift card

Description

This gene encodes a beta-ketoacyl synthetase. The encoded enzyme is required for elongation of fatty acid chains in the mitochondria. Alternatively spliced transcript variants have been described.

Application Notes

Optimal dilution of the OXSM antibody should be determined by the researcher.

Immunogen

E. coli-derived recombinant human protein (amino acids M1-E431) was used as the immunogen for the OXSM antibody.

Storage

After reconstitution, the OXSM antibody can be stored for up to one month at 4oC. For long-term, aliquot and store at -20oC. Avoid repeated freezing and thawing.

Cross
Bulk Quote Request Form
Name*:
Organization*:
Email*:
Phone Number*:
Catalog No.*:
Comments and Specifics(amount, formulation, etc.)*:
Validation code: Captchapackage Image


Can't read the image? click here to refresh.
    *required field

Your bulk quote request has been submitted successfully!

Please contact us if you have any questions.