• Tel: 858.663.9055
  • SeparatorEmail: info@nsjbio.com
  • Tel: 858.663.9055
  • Email: info@nsjbio.com
Home >> Antibodies >> OX40 Antibody

OX40 Antibody [clone OX40/2721] (V8400)

  Catalog No Formulation Size Price (USD)  
Image V8400-100UG 0.2 mg/ml in 1X PBS with 0.1 mg/ml BSA (US sourced) and 0.05% sodium azide 100 ug 539
Image
V8400-20UG 0.2 mg/ml in 1X PBS with 0.1 mg/ml BSA (US sourced) and 0.05% sodium azide 20 ug 249
Image
V8400SAF-100UG 1 mg/ml in 1X PBS; BSA free, sodium azide free 100 ug 539
Microvalidated
Bulk quote request
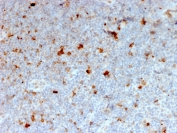
IHC staining of FFPE human lymph node with OX40 antibody. HIER: boil tissue sections in pH 9 10mM Tris with 1mM EDTA for 20 min and allow to cool before testing.
IHC staining of FFPE human lymph node with OX40 antibody. HIER: boil tissue sections in pH 9 10mM Tris with 1mM EDTA for 20 min and allow to cool before testing.
Analysis of HuProt(TM) microarray containing more than 19,000 full-length human proteins using OX40 antibody. These results demonstrate the foremost specificity of the OX40/2721 mAb. Z- and S- score: The Z-score represents the strength of a signal that an antibody (in combination with a fluorescently-tagged anti-IgG secondary Ab) produces when binding to a particular protein on the HuProt(TM) array. Z-scores are described in units of standard deviations (SD's) above the mean value of all signals generated on that array. If the targets on the HuProt(TM) are arranged in descending order of the Z-score, the S-score is the difference (also in units of SD's) between the Z-scores. The S-score therefore represents the relative target specificity of an Ab to its intended target.
SDS-PAGE analysis of purified, BSA-free OX40 antibody (clone OX40/2721) as confirmation of integrity and purity.
Availability 1-3 business days
Species Reactivity Human
Format Purified
Clonality Monoclonal (mouse origin)
Isotype Mouse IgG1, kappa
Clone Name OX40/2721
Purity Protein G affinity chromatography
UniProt P43489
Localization Cytoplasmic, membranous
Applications Immunohistochemistry (FFPE) : 1-2ug/ml for 30 minutes at RT
Limitations This OX40 antibody is available for research use only.
Review this product on BioCompare and get a $20 Amazon gift card

Related Products

Description

This MAb recognizes a protein of 43kDa, identified as OX40, which is also known as CD134.OX40 is a type I integral membrane glycoprotein and member of the tumor necrosis factor/nerve growth factor receptor (TNFR/NGFR) family. It is expressed on activated T lymphocytes, hematopoietic precursor cells and fibroblasts. It functions as a T cell co-stimulatory receptor when bound by OX40 Ligand / TNFSF4 that is expressed by antigen presenting cells. OX40 thereby plays roles in T-cell activation as well as the regulation of differentiation, proliferation or apoptosis of normal and malignant lymphoid cells.OX40 is upregulated at the sites of inflammation, especially in case of multiple sclerosis and psoriatic lesions.

Application Notes

Optimal dilution of the OX40 antibody should be determined by the researcher.

Immunogen

A portion of amino acids 59-205 from the human protein was used as the immunogen for the OX40 antibody.

Storage

Store the OX40 antibody at 2-8oC (with azide) or aliquot and store at -20oC or colder (without azide).

Cross
Bulk Quote Request Form
Name*:
Organization*:
Email*:
Phone Number*:
Catalog No.*:
Comments and Specifics(amount, formulation, etc.)*:
Validation code: Captchapackage Image


Can't read the image? click here to refresh.
    *required field

Your bulk quote request has been submitted successfully!

Please contact us if you have any questions.