• Tel: 858.663.9055
  • SeparatorEmail: info@nsjbio.com
  • Tel: 858.663.9055
  • Email: info@nsjbio.com
Home >> Antibodies >> OVGP1 Antibody / Oviduct-specific glycoprotein

OVGP1 Antibody / Oviduct-specific glycoprotein (RQ8363)

  Catalog No Formulation Size Price (USD)  
Image RQ8363 0.5mg/ml if reconstituted with 0.2ml sterile DI water 100 ug 439
Bulk quote request
Flow cytometry testing of fixed and permeabilized human RT4 cells with OVGP1 antibody at 1ug/million cells (blocked with goat sera); Red=cells alone, Green=isotype control, Blue= OVGP1 antibody.
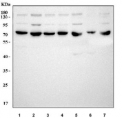
Western blot testing of 1) human Jurkat, 2) human 293T, 3) human RT4, 4) human PC-3, 5) rat testis, 6) mouse ovary and 7) mouse testis tissue lysate with OVGP1 antibody. Predicted molecular weight ~75 kDa but may be observed at higher molecular weights due to glycosylation.
Availability 1-3 business days
Species Reactivity Human, Mouse, Rat
Format Antigen affinity purified
Clonality Polyclonal (rabbit origin)
Isotype Rabbit IgG
Purity Antigen affinity purified
Buffer Lyophilized from 1X PBS with 2% Trehalose
UniProt Q12889
Applications Western Blot : 0.5-1ug/ml
Flow Cytometry : 1-3ug/million cells
Direct ELISA : 0.1-0.5ug/ml
Limitations This OVGP1 antibody is available for research use only.
Review this product on BioCompare and get a $20 Amazon gift card

Description

Oviduct-specific glycoprotein also known as oviductal glycoprotein (OGP) or estrogen-dependent oviduct protein, oviductin or mucin-9 is a protein that in humans is encoded by the OVGP1 gene. This gene encodes a large, carbohydrate-rich, epithelial glycoprotein with numerous O-glycosylation sites located within threonine, serine, and proline-rich tandem repeats. The gene is similar to members of the mucin and the glycosyl hydrolase 18 gene families. Regulation of expression may be estrogen-dependent. Gene expression and protein secretion occur during late follicular development through early cleavage-stage embryonic development. The protein is secreted from non-ciliated oviductal epithelial cells and associates with ovulated oocytes, blastomeres, and spermatozoan acrosomal regions.

Application Notes

Optimal dilution of the OVGP1 antibody should be determined by the researcher.

Immunogen

An E.coli-derived human recombinant protein (E118-E667) was used as the immunogen for the OVGP1 antibody.

Storage

After reconstitution, the OVGP1 antibody can be stored for up to one month at 4oC. For long-term, aliquot and store at -20oC. Avoid repeated freezing and thawing.

Cross
Bulk Quote Request Form
Name*:
Organization*:
Email*:
Phone Number*:
Catalog No.*:
Comments and Specifics(amount, formulation, etc.)*:
Validation code: Captchapackage Image


Can't read the image? click here to refresh.
    *required field

Your bulk quote request has been submitted successfully!

Please contact us if you have any questions.