• Tel: 858.663.9055
  • SeparatorEmail: info@nsjbio.com
  • Tel: 858.663.9055
  • Email: info@nsjbio.com
Home >> Antibodies >> OTUD5 Antibody / OTU deubiquitinase 5

OTUD5 Antibody / OTU deubiquitinase 5 (FY12167)

  Catalog No Formulation Size Price (USD)  
Image FY12167 Adding 0.2 ml of distilled water will yield a concentration of 500 ug/ml 100 ug 439
Bulk quote request
Immunofluorescent staining of OTUD5 using anti-OTUD5 antibody (red) and anti-Beta Tubulin antibody (green). OTUD5 was detected in immunocytochemical section of cell. Enzyme antigen retrieval was performed using IHC enzyme antigen retrieval reagent for 15 mins. The cells were blocked with 10% goat serum. And then incubated with 5 ug/ml rabbit anti-OTUD5 antibody and mouse anti-Beta Tubulin antibody overnight at 4oC. Cy3 Conjugated Goat Anti-Rabbit IgG and FITC Conjugated Goat Anti-Mouse IgG were used as secondary antibody at 1:500 dilution and incubated for 30 minutes at 37oC. Visualize using a fluorescence microscope and filter sets appropriate for the label used.
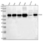
Western blot analysis of OTUD5 using anti-OTUD5 antibody. Lane 1: human 293T whole cell lysates, Lane 2: human Hela whole cell lysates, Lane 3: human Jurkat whole cell lysates, Lane 4: human K562 whole cell lysates, Lane 5: rat liver tissue lysates, Lane 6: rat C6 whole cell lysates. After electrophoresis, proteins were transferred to a nitrocellulose membrane at 150 mA for 50-90 minutes. Blocked the membrane with 5% non-fat milk/TBS for 1.5 hour at RT. The membrane was incubated with rabbit anti-OTUD5 antibody at 0.5 ug/ml overnight at 4oC, then washed with TBS-0.1%Tween 3 times with 5 minutes each and probed with a goat anti-rabbit IgG-HRP secondary antibody at a dilution of 1:5000 for 1.5 hour at RT. The signal was developed using enhanced chemiluminescent. The predicted band size for OTUD5 is at 61 kDa. Phosphorylation causes the protein to migrate more slowly in SDS-PAGE and it is commonly observed at 70-80 kDa.
Availability 1-2 days
Species Reactivity Human, Rat
Format Lyophilized
Clonality Polyclonal (rabbit origin)
Isotype Rabbit IgG
Purity Immunogen affinity purified
Buffer Each vial contains 4 mg Trehalose, 0.9 mg NaCl, 0.2 mg Na2HPO4.
UniProt Q96G74
Localization Nucleus
Applications Western Blot : 0.25-0.5ug/ml
Immunocytochemistry : 5ug/ml
Immunofluorescence : 5ug/ml
ELISA : 0.1-0.5ug/ml
Limitations This OTUD5 antibody is available for research use only.
Review this product on BioCompare and get a $20 Amazon gift card

Related Products

Description

OTUD5 antibody detects OTU deubiquitinase 5, encoded by the OTUD5 gene on chromosome Xp11.23. OTUD5 antibody is widely used to study this deubiquitinating enzyme of the ovarian tumor (OTU) domain-containing protease family. OTUD5 removes ubiquitin moieties from substrate proteins, regulating protein turnover, DNA damage response, and immune signaling. It is expressed broadly, with high levels in immune cells, reproductive tissues, and neuronal tissues. OTUD5's ability to cleave specific ubiquitin linkages, particularly K63- and K48-linked chains, allows it to regulate protein stability and signaling cascades.

Structurally, OTUD5 contains a conserved OTU catalytic domain with cysteine protease activity. Additional N-terminal and C-terminal regions mediate substrate recognition and interactions with cofactors. OTUD5 associates with chromatin and DNA repair proteins, linking its enzymatic activity to genome stability. It also interacts with immune signaling molecules, where it modulates receptor-mediated pathways by editing ubiquitin chains on adaptors and kinases. These modular features allow OTUD5 to function in diverse signaling contexts.

Functionally, OTUD5 regulates DNA damage repair by deubiquitinating proteins at double-strand breaks, facilitating recruitment of repair factors. It also influences transcription by modifying ubiquitin marks on chromatin-associated proteins. In the immune system, OTUD5 shapes responses by removing activating ubiquitin chains from molecules such as TRAF proteins and STING, modulating interferon production and antiviral responses. Knockdown studies show that OTUD5 deficiency impairs DNA repair and increases susceptibility to immune dysregulation. Researchers use OTUD5 antibody to probe these critical regulatory pathways.

Clinically, mutations in OTUD5 are associated with a developmental disorder known as LINKED syndrome (linkage-specific deubiquitinase deficiency-induced embryonic defects). This X-linked condition is characterized by intellectual disability, craniofacial anomalies, and heart defects, highlighting the essential developmental roles of OTUD5. In cancer, altered OTUD5 expression influences tumor progression and response to DNA damage-targeted therapies. Its roles in immunity also make it relevant in autoimmunity and infectious diseases. NSJ Bioreagents provides OTUD5 antibody to support research into genome stability, immune regulation, and developmental disorders.

Experimentally, OTUD5 antibody is used in western blotting to detect the ~60-75 kDa protein, in immunohistochemistry to study tissue expression, and in immunofluorescence microscopy to visualize nuclear and cytoplasmic pools. Immunoprecipitation with OTUD5 antibody identifies binding partners and ubiquitinated substrates. These experimental approaches highlight its utility in studying ubiquitin biology and cellular stress responses.

Application Notes

Optimal dilution of the OTUD5 antibody should be determined by the researcher.

Immunogen

E.coli-derived human OTUD5 recombinant protein (Position: R168-D555) was used as the immunogen for the OTUD5 antibody.

Storage

After reconstitution, the OTUD5 antibody can be stored for up to one month at 4oC. For long-term, aliquot and store at -20oC. Avoid repeated freezing and thawing.

Cross
Bulk Quote Request Form
Name*:
Organization*:
Email*:
Phone Number*:
Catalog No.*:
Comments and Specifics(amount, formulation, etc.)*:
Validation code: Captchapackage Image


Can't read the image? click here to refresh.
    *required field

Your bulk quote request has been submitted successfully!

Please contact us if you have any questions.