• Tel: 858.663.9055
  • SeparatorEmail: info@nsjbio.com
  • Tel: 858.663.9055
  • Email: info@nsjbio.com
Home >> Antibodies >> OTT1 Antibody / RBM15 / One-twenty two protein 1

OTT1 Antibody / RBM15 / One-twenty two protein 1 (RQ8057)

  Catalog No Formulation Size Price (USD)  
Image RQ8057 0.5mg/ml if reconstituted with 0.2ml sterile DI water 100 ug 439
Bulk quote request
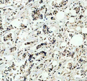
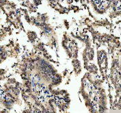
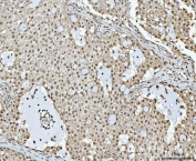
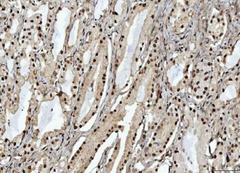
IHC staining of FFPE human prostate cancer tissue with OTT1 antibody. HIER: boil tissue sections in pH8 EDTA for 20 min and allow to cool before testing.
IHC staining of FFPE human lung cancer tissue with OTT1 antibody. HIER: boil tissue sections in pH8 EDTA for 20 min and allow to cool before testing.
IHC staining of FFPE human lung cancer tissue with OTT1 antibody. HIER: boil tissue sections in pH8 EDTA for 20 min and allow to cool before testing.
IHC staining of FFPE human breast cancer tissue with OTT1 antibody. HIER: boil tissue sections in pH8 EDTA for 20 min and allow to cool before testing.
IHC staining of FFPE human esophageal squamous carcinoma tissue with OTT1 antibody. HIER: boil tissue sections in pH8 EDTA for 20 min and allow to cool before testing.
IHC staining of FFPE human breast cancer tissue with OTT1 antibody. HIER: boil tissue sections in pH8 EDTA for 20 min and allow to cool before testing.
IHC staining of FFPE mouse brain tissue with OTT1 antibody. HIER: boil tissue sections in pH8 EDTA for 20 min and allow to cool before testing.
IHC staining of FFPE rat brain tissue with OTT1 antibody. HIER: boil tissue sections in pH8 EDTA for 20 min and allow to cool before testing.
Western blot testing of human 293T cell lysate with OTT1 antibody. Predicted molecular weight: 100-107 kDa (multiple isoforms).
Flow cytometry testing of fixed and permeabilized human 293T cells with OTT1 antibody at 1ug/million cells (blocked with goat sera); Red=cells alone, Green=isotype control, Blue= OTT1 antibody.
Western blot testing of 1) human 293T, 2) rat C6 and 3) mouse NIH 3T3 cell lysate with OTT1 antibody. Predicted molecular weight: 100-107 kDa (multiple isoforms).
IHC staining of FFPE rat brain tissue with OTT1 antibody, HRP-secondary and DAB substrate. HIER: boil tissue sections in pH8 EDTA for 20 min and allow to cool before testing.
IHC staining of FFPE mouse brain tissue with OTT1 antibody, HRP-secondary and DAB substrate. HIER: boil tissue sections in pH8 EDTA for 20 min and allow to cool before testing.
Immunofluorescent staining of FFPE human U-2 OS cells with OTT1 antibody (green) and Alpha Tubulin mAb (red). HIER: steam section in pH6 citrate buffer for 20 min.
Immunofluorescent staining of FFPE human lung cancer tissue with OTT1 antibody (red) and DAPI nuclear stain (blue). HIER: steam section in pH8 EDTA buffer for 20 min.
Availability 1-3 business days
Species Reactivity Human, Mouse, Rat
Format Antigen affinity purified
Clonality Polyclonal (rabbit origin)
Isotype Rabbit IgG
Purity Antigen affinity purified
Buffer Lyophilized from 1X PBS with 2% Trehalose
UniProt Q96T37
Localization Nuclear
Applications Western Blot : 0.5-1ug/ml
Immunohistochemistry (FFPE) : 2-5ug/ml
Flow Cytometry : 1-3ug/million cells
Immunofluorescence : 5ug/ml
Direct ELISA : 0.1-0.5ug/ml
Limitations This OTT1 antibody is available for research use only.
Review this product on BioCompare and get a $20 Amazon gift card

Description

OTT1 (One-twenty two protein 1), also called RBM15), is an RNA-binding protein involved in post-transcriptional gene regulation. It contains RNA recognition motifs and a SPOC domain that enable it to bind specific RNA sequences and interact with splicing and mRNA export machinery. OTT1 has been shown to influence alternative splicing, RNA stability, and nuclear export, and is also associated with components of the m6A RNA methylation machinery, contributing to epitranscriptomic regulation.

OTT1 plays roles in hematopoietic development and transcriptional control through its interactions with transcription factors and chromatin-associated complexes. It is expressed in various tissues, with enriched expression in early hematopoietic and embryonic cell populations, making it a useful marker in developmental and RNA processing studies.

The OTT1 antibody is a powerful tool for detecting endogenous RBM15 in applications such as western blot, immunofluorescence, and immunohistochemistry. Researchers use the OTT1 antibody from NSJ Bioreagents to monitor protein levels, assess subcellular localization, and explore RNA–protein interactions under various experimental conditions. With high specificity and consistent performance, the OTT1 antibody supports in-depth studies of RNA regulation, nuclear processes, and RNA-binding protein networks.

Application Notes

Optimal dilution of the OTT1 antibody should be determined by the researcher.

Immunogen

E. coli-derived recombinant human protein (amino acids M1-K967) was used as the immunogen for the OTT1 antibody.

Storage

After reconstitution, the OTT1 antibody can be stored for up to one month at 4oC. For long-term, aliquot and store at -20oC. Avoid repeated freezing and thawing.

Cross
Bulk Quote Request Form
Name*:
Organization*:
Email*:
Phone Number*:
Catalog No.*:
Comments and Specifics(amount, formulation, etc.)*:
Validation code: Captchapackage Image


Can't read the image? click here to refresh.
    *required field

Your bulk quote request has been submitted successfully!

Please contact us if you have any questions.