• Tel: 858.663.9055
  • SeparatorEmail: info@nsjbio.com
  • Tel: 858.663.9055
  • Email: info@nsjbio.com
Home >> Antibodies >> Osteopontin Antibody

Osteopontin Antibody (F41543)

  Catalog No Formulation Size Price (USD)  
Image F41543-0.4ML In 1X PBS, pH 7.4, with 0.09% sodium azide 0.4 ml 429
Image
F41543-0.08ML In 1X PBS, pH 7.4, with 0.09% sodium azide 0.08 ml 199
Bulk quote request
Western blot testing of human 1) HeLa, 2) HL60, 3) Jurkat and 4) MOLT4 cell lysate with Osteopontin antibody. Predicted molecular weight: 35-65 kDa depending on degree of glycosylation.
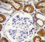
Osteopontin antibody immunohistochemistry analysis in formalin fixed and paraffin embedded human kidney tissue.
Confocal immunofluorescent analysis of Osteopontin antibody with human 293 cells followed by Alexa Fluor 488-conjugated goat anti-rabbit lgG (green). DAPI was used as a nuclear counterstain (blue).
Confocal immunofluorescent analysis of Osteopontin antibody with human MCF7 cells followed by Alexa Fluor 488-conjugated goat anti-rabbit lgG (green). Phalloidin (red) and DAPI (blue) counterstains were used.
Availability 1-3 business days
Species Reactivity Human
Format Antigen affinity purified
Clonality Polyclonal (rabbit origin)
Isotype Rabbit Ig
Purity Antigen affinity
UniProt P10451
Localization Cytoplasmic
Applications Western Blot : 1:1000
Immunohistochemistry (FFPE) : 1:50-1:100
Immunofluorescence : 1:10-1:50
Limitations This Osteopontin antibody is available for research use only.
Review this product on BioCompare and get a $20 Amazon gift card

Related Products

Description

Binds tightly to hydroxyapatite. Appears to form an integral part of the mineralized matrix. Probably important to cell-matrix interaction. Acts as a cytokine involved in enhancing production of interferon-gamma and interleukin-12 and reducing production of interleukin-10 and is essential in the pathway that leads to type I immunity (By similarity).

Application Notes

Titration of the Osteopontin antibody may be required due to differences in protocols and secondary/substrate sensitivity.

Immunogen

A portion of amino acids 14-40 from the human protein was used as the immunogen for this Osteopontin antibody.

Storage

Aliquot the Osteopontin antibody and store frozen at -20oC or colder. Avoid repeated freeze-thaw cycles.

Cross
Bulk Quote Request Form
Name*:
Organization*:
Email*:
Phone Number*:
Catalog No.*:
Comments and Specifics(amount, formulation, etc.)*:
Validation code: Captchapackage Image


Can't read the image? click here to refresh.
    *required field

Your bulk quote request has been submitted successfully!

Please contact us if you have any questions.