• Tel: 858.663.9055
  • SeparatorEmail: info@nsjbio.com
  • Tel: 858.663.9055
  • Email: info@nsjbio.com
Home >> Antibodies >> Osteocalcin Antibody

Osteocalcin Antibody (R32432)

  Catalog No Formulation Size Price (USD)  
Image R32432 0.5mg/ml if reconstituted with 0.2ml sterile DI water 100 ug 439
Bulk quote request
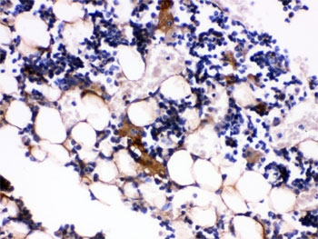
IHC testing of FFPE mouse bone tissue with Osteocalcin antibody. HIER: Boil the paraffin sections in pH 6, 10mM citrate buffer for 20 minutes and allow to cool prior to testing.
Availability 1-3 business days
Species Reactivity Mouse, Rat
Format Antigen affinity purified
Clonality Polyclonal (rabbit origin)
Isotype Rabbit IgG
Purity Antigen affinity
Buffer Lyophilized from 1X PBS with 2.5% BSA and 0.025% sodium azide
UniProt P86546
Localization Cytoplasmic
Applications IHC (FFPE) : 0.5-1ug/ml
Limitations This Osteocalcin antibody is available for research use only.
Review this product on BioCompare and get a $20 Amazon gift card

Related Products

  • Applications : WB, IHC, ELISA
    Reactivity : Human
  • Applications : IHC-P
    Reactivity : Human
  • Applications : IHC-P, FACS
    Reactivity : Rat

Description

Osteocalcin, also known as bone gamma-carboxyglutamic acid-containing protein (BGLAP), is a noncollagenous protein found in bone and dentin. In humans, the osteocalcin is encoded by the BGLAP gene. Its receptor is GPRC6A. It is mapped to 1q22. Osteocalcin may play a role in the body's metabolic regulation and is pro-osteoblastic, or bone-building. It acts as a hormone in the body, causing beta cellsin the pancreas to release more insulin, and at the same time directing fat cells to release the hormone adiponectin, which increases sensitivity to insulin. Also, it may play a role in male fertility. And it is found that picomolar amounts of osteocalcin affected insulin secretion and beta-cell proliferation.

Application Notes

Optimal dilution of the Osteocalcin antibody should be determined by the researcher.

Immunogen

Amino acids Y50-I95 of the mouse protein were used as the immunogen for the Osteocalcin antibody.

Storage

After reconstitution, the Osteocalcin antibody can be stored for up to one month at 4oC. For long-term, aliquot and store at -20oC. Avoid repeated freezing and thawing.

Cross
Bulk Quote Request Form
Name*:
Organization*:
Email*:
Phone Number*:
Catalog No.*:
Comments and Specifics(amount, formulation, etc.)*:
Validation code: Captchapackage Image


Can't read the image? click here to refresh.
    *required field

Your bulk quote request has been submitted successfully!

Please contact us if you have any questions.