• Tel: 858.663.9055
  • SeparatorEmail: info@nsjbio.com
  • Tel: 858.663.9055
  • Email: info@nsjbio.com
Home >> Antibodies >> OSBPL9 Antibody / ORP9

OSBPL9 Antibody / ORP9 (R33918)

  Catalog No Formulation Size Price (USD)  
Image R33918-100UG 0.5 mg/ml in 1X TBS, pH7.3, with 0.5% BSA (US sourced) and 0.02% sodium azide 100 ug 449
Bulk quote request
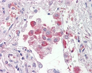
IHC testing of FFPE human lung with OSBPL9 antibody at 2.5ug/ml. HIER: steamed with pH6 citrate buffer, AP-staining.
Availability 1-3 business days
Species Reactivity Human
Predicted Reactivity Mouse, Rat, Dog, Pig, Cow
Format Antigen affinity purified
Clonality Polyclonal (goat origin)
Isotype Goat Ig
Purity Antigen affinity
Gene ID 114883
Applications Immunohistochemistry (FFPE) : 2-4ug/ml
ELISA (peptide) LOD : 1:32000
Limitations This OSBPL9 antibody is available for research use only.
Review this product on BioCompare and get a $20 Amazon gift card

Related Products

Description

Additional name(s) for this target protein: Oxysterol binding protein-like 9; OSBP-related protein 9; ORP9

Application Notes

Optimal dilution of the OSBPL9 antibody should be determined by the researcher.

Immunogen

Amino acids EPLLKRLGAAKH were used as the immunogen for this OSBPL9 antibody.

Storage

Aliquot and store the OSBPL9 antibody at -20oC.

Cross
Bulk Quote Request Form
Name*:
Organization*:
Email*:
Phone Number*:
Catalog No.*:
Comments and Specifics(amount, formulation, etc.)*:
Validation code: Captchapackage Image


Can't read the image? click here to refresh.
    *required field

Your bulk quote request has been submitted successfully!

Please contact us if you have any questions.