• Tel: 858.663.9055
  • SeparatorEmail: info@nsjbio.com
  • Tel: 858.663.9055
  • Email: info@nsjbio.com
Home >> Antibodies >> Optineurin Antibody / OPTN

Optineurin Antibody / OPTN (R31756)

  Catalog No Formulation Size Price (USD)  
Image R31756 0.5mg/ml if reconstituted with 0.2ml sterile DI water 100 ug 439
Bulk quote request
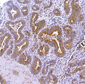
IHC staining of FFPE human adenosquamous carcinoma of the gall bladder with Optineurin antibody. HIER: boil tissue sections in pH8 EDTA for 20 min and allow to cool before testing.
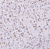
IHC staining of FFPE mouse brain tissue with Optineurin antibody. HIER: boil tissue sections in pH8 EDTA for 20 min and allow to cool before testing.
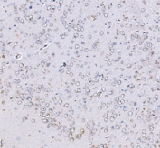
IHC staining of FFPE rat brain tissue with Optineurin antibody. HIER: boil tissue sections in pH8 EDTA for 20 min and allow to cool before testing.
Flow cytometry testing of human A431 cells with Optineurin antibody at 1ug/million cells (blocked with goat sera); Red=cells alone, Green=isotype control, Blue= Optineurin antibody.
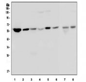
Western blot testing of 1) human HeLa, 2) human HT1080, 3) human HepG2, 4) rat heart, 5) rat brain, 6) mouse heart and 7) mouse brain tissue lysate with Optineurin antibody. Expected molecular weight: 66-74 kDa depending on phosphorylation level.
Availability 1-3 business days
Species Reactivity Human, Mouse, Rat
Format Antigen affinity purified
Clonality Polyclonal (rabbit origin)
Isotype Rabbit IgG
Purity Antigen affinity
Buffer Lyophilized from 1X PBS with 2.5% BSA and 0.025% sodium azide
UniProt Q96CV9
Gene ID 10133
Localization Cytoplasmic
Applications Western Blot : 0.5-1ug/ml
Immunohistochemistry (FFPE) : 2-5ug/ml
Flow Cytometry : 1-3ug/million cells
Limitations This Optineurin antibody is available for research use only.
Review this product on BioCompare and get a $20 Amazon gift card

Related Products

Description

OPTN is also known as NRP, FIP2 or HYPL. This gene encodes the coiled-coil containing protein Optineurin which may play a role in normal-tension glaucoma and adult-onset primary open angle glaucoma. Optineurin interacts with adenovirus E3-14.7K protein and may utilize tumor necrosis factor-alpha or Fas-ligand pathways to mediate apoptosis, inflammation or vasoconstriction. It may also function in cellular morphogenesis and membrane trafficking, vesicle trafficking, and transcription activation through its interactions with the RAB8, Huntingtin, and transcription factor IIIA proteins. Alternative splicing results in multiple transcript variants encoding the same protein.

Application Notes

The stated application concentrations are suggested starting amounts. Titration of the Optineurin antibody may be required due to differences in protocols and secondary/substrate sensitivity.

Immunogen

Human partial recombinant protein (AA 241-577) was used as the immunogen for this Optineurin antibody.

Storage

After reconstitution, the Optineurin antibody can be stored for up to one month at 4oC. For long-term, aliquot and store at -20oC. Avoid repeated freezing and thawing.

Cross
Bulk Quote Request Form
Name*:
Organization*:
Email*:
Phone Number*:
Catalog No.*:
Comments and Specifics(amount, formulation, etc.)*:
Validation code: Captchapackage Image


Can't read the image? click here to refresh.
    *required field

Your bulk quote request has been submitted successfully!

Please contact us if you have any questions.