• Tel: 858.663.9055
  • SeparatorEmail: info@nsjbio.com
  • Tel: 858.663.9055
  • Email: info@nsjbio.com
Home >> Antibodies >> ONECUT1 Antibody / One cut homeobox 1 / HNF6

ONECUT1 Antibody / One cut homeobox 1 / HNF6 (RQ7950)

  Catalog No Formulation Size Price (USD)  
Image RQ7950 0.5mg/ml if reconstituted with 0.2ml sterile DI water 100 ug 439
Bulk quote request
Immunofluorescent staining of FFPE human U-2 OS cells with ONECUT1 antibody (red) and Beta Tubulin mAb (green). HIER: steam section in pH6 citrate buffer for 20 min.
Western blot testing of human 1) HepG2 and 2) MCF7 cell lysate with ONCECUT1 antibody. Predicted molecular weight ~51 kDa.
Flow cytometry testing of fixed and permeabilized human Daudi cells with ONECUT1 antibody at 1ug/million cells (blocked with goat sera); Red=cells alone, Green=isotype control, Blue= ONECUT1 antibody.
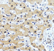
IHC staining of FFPE human liver cancer tissue with ONECUT1 antibody, HRP-secondary and DAB substrate. HIER: boil tissue sections in pH8 EDTA for 20 min and allow to cool before testing.
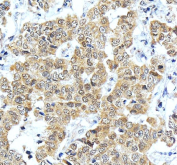
IHC staining of FFPE human liver tissue with ONECUT1 antibody, HRP-secondary and DAB substrate. HIER: boil tissue sections in pH8 EDTA for 20 min and allow to cool before testing.
Availability 1-3 business days
Species Reactivity Human
Format Antigen affinity purified
Clonality Polyclonal (rabbit origin)
Isotype Rabbit IgG
Purity Antigen affinity purified
Buffer Lyophilized from 1X PBS with 2% Trehalose
UniProt Q9UBC0
Localization Nuclear
Applications Western Blot : 0.5-1ug/ml
Immunofluorescence (FFPE) : 5ug/ml
Flow Cytometry : 1-3ug/million cells
Direct ELISA : 0.1-0.5ug/ml
Immunohistochemistry (FFPE) : 2-5ug/ml
Limitations This ONECUT1 antibody is available for research use only.
Review this product on BioCompare and get a $20 Amazon gift card

Related Products

Description

ONECUT1 (One cut homeobox 1), also known as HNF6 (Hepatocyte nuclear factor 6), is a transcription factor that belongs to the ONECUT family of homeobox proteins. It plays an essential role in embryonic development, particularly in the liver, pancreas, and nervous system. ONECUT1 regulates the transcription of genes involved in cell fate specification, organ morphogenesis, and metabolic pathways. Researchers frequently use a ONECUT1 antibody to study transcriptional regulation, developmental biology, and metabolic disease.

ONECUT1 contains a single cut domain and a homeodomain that together mediate DNA binding and transcriptional activation. During liver development, it regulates genes necessary for hepatocyte differentiation and bile duct formation. In the pancreas, it controls the expression of factors critical for endocrine cell development, including insulin-producing beta cells. Employing a ONECUT1 antibody allows scientists to examine protein distribution and activity in tissues central to metabolism and endocrine function.

Mutations and dysregulation of ONECUT1 have been associated with metabolic and developmental disorders. Variants in the ONECUT1 gene have been linked to maturity-onset diabetes of the young (MODY) and neonatal diabetes, emphasizing its importance in glucose regulation. Beyond metabolic disease, aberrant expression of ONECUT1 has been observed in cancers of the liver and pancreas, suggesting a potential role in tumorigenesis. Using a ONECUT1 antibody enables researchers to explore these disease connections and uncover its broader biological roles.

NSJ Bioreagents provides a high-quality ONECUT1 antibody validated for applications including western blot, immunohistochemistry, and immunofluorescence. Choosing a ONECUT1 antibody from NSJ Bioreagents ensures reproducible and accurate results in studies of transcriptional regulation, development, and disease.

Application Notes

Optimal dilution of the ONECUT1 antibody should be determined by the researcher.

Immunogen

E. coli-derived recombinant human protein (amino acids M1-E270) was used as the immunogen for the ONECUT1 antibody.

Storage

After reconstitution, the ONECUT1 antibody can be stored for up to one month at 4oC. For long-term, aliquot and store at -20oC. Avoid repeated freezing and thawing.

Cross
Bulk Quote Request Form
Name*:
Organization*:
Email*:
Phone Number*:
Catalog No.*:
Comments and Specifics(amount, formulation, etc.)*:
Validation code: Captchapackage Image


Can't read the image? click here to refresh.
    *required field

Your bulk quote request has been submitted successfully!

Please contact us if you have any questions.