• Tel: 858.663.9055
  • SeparatorEmail: info@nsjbio.com
  • Tel: 858.663.9055
  • Email: info@nsjbio.com
Home >> Antibodies >> OGT Antibody

OGT Antibody (R36359)

  Catalog No Formulation Size Price (USD)  
Image R36359-100UG 0.5 mg/ml in 1X TBS, pH7.3, with 0.5% BSA (US sourced) and 0.02% sodium azide 100 ug 449
Bulk quote request
Western blot testing of rat pancreas lysate with OGT antibody at 0.05ug/ml. Molecular weight: the expected 110-117 kDa band and the additional ~60 kDa band are both blocked by the immunizing peptide.
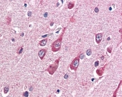
IHC testing of FFPE human brain (cortex) tissue with OGT antibody at 5ug/ml. Required HIER: steamed antigen retrieval with pH6 citrate buffer; AP-staining.
Availability 1-3 business days
Species Reactivity Human, Rat
Predicted Reactivity Mouse, Dog
Format Antigen affinity purified
Clonality Polyclonal (goat origin)
Isotype Goat Ig
Purity Antigen affinity
Gene ID 8473
Localization Nuclear, cytoplasmic
Applications Western Blot : 0.05-0.2ug/ml
IHC (FFPE) : 5ug/ml
ELISA (peptide) LOD : 1:64000
Limitations This OGT antibody is available for research use only.
Review this product on BioCompare and get a $20 Amazon gift card

Related Products

  • Applications : WB
    Reactivity : Human, Mouse, Rat
    Rab Mono Image
  • Applications : WB, IHC, ELISA
    Reactivity : Human, Mouse
    Pred. Reactivity : Rat, Pig, Rabbit
  • Applications : WB, IHC-P, IF, FACS
    Reactivity : Human, Mouse, Rat

Description

Additional name(s) for this target protein: O-linked GlcNAc transferase; O-GlcNAc transferase subunit p110

Application Notes

Optimal dilution of the OGT antibody should be determined by the researcher.

Immunogen

Amino acids YEHPKDLKLSDGR were used as the immunogen for this OGT antibody.

Storage

Aliquot and store the OGT antibody at -20oC.

Cross
Bulk Quote Request Form
Name*:
Organization*:
Email*:
Phone Number*:
Catalog No.*:
Comments and Specifics(amount, formulation, etc.)*:
Validation code: Captchapackage Image


Can't read the image? click here to refresh.
    *required field

Your bulk quote request has been submitted successfully!

Please contact us if you have any questions.