• Tel: 858.663.9055
  • SeparatorEmail: info@nsjbio.com
  • Tel: 858.663.9055
  • Email: info@nsjbio.com
Home >> Antibodies >> OGT Antibody / O-GlcNAc transferase subunit p110

OGT Antibody / O-GlcNAc transferase subunit p110 (R31809)

  Catalog No Formulation Size Price (USD)  
Image R31809 0.5mg/ml if reconstituted with 0.2ml sterile DI water 100 ug 439
Bulk quote request
Immunofluorescent staining of FFPE human A431 cells with OGT antibody (green) and DAPI nuclear stain (blue). HIER: steam section in pH6 citrate buffer for 20 min.
IHC testing of FFPE mouse intestine with OGT antibody. HIER: Boil the paraffin sections in pH 6, 10mM citrate buffer for 20 minutes and allow to cool prior to staining.
IHC testing of FFPE rat intestine with OGT antibody. HIER: Boil the paraffin sections in pH 6, 10mM citrate buffer for 20 minutes and allow to cool prior to staining.
IHC testing of FFPE rat pancreas with OGT antibody. HIER: Boil the paraffin sections in pH8 EDTA for 20 minutes and allow to cool prior to staining.
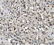
IHC testing of FFPE human stomach cancer with OGT antibody. HIER: Boil the paraffin sections in pH8 EDTA for 20 minutes and allow to cool prior to staining.
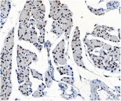
IHC testing of FFPE human pancreatic cancer with OGT antibody. HIER: Boil the paraffin sections in pH8 EDTA for 20 minutes and allow to cool prior to staining.
Western blot testing of human 1) HeLa, 2) PC-3, 3) A431, 4) A549, 5) Caco-2, 6) K562, 7) rat heart and 8) mouse heart lysate with OGT antibody. Expected molecular weight 110-117 kDa.
Flow cytometry testing of human U937 cells with OGT antibody at 1ug/million cells (blocked with goat sera); Red=cells alone, Green=isotype control, Blue= OGT antibody.
Flow cytometry testing of mouse RAW264.7 cells with OGT antibody at 1ug/million cells (blocked with goat sera); Red=cells alone, Green=isotype control, Blue= OGT antibody.
Availability 1-3 business days
Species Reactivity Human, Mouse, Rat
Format Antigen affinity purified
Clonality Polyclonal (rabbit origin)
Isotype Rabbit IgG
Purity Antigen affinity
Buffer Lyophilized from 1X PBS with 2.5% BSA and 0.025% sodium azide
UniProt O15294
Localization Nuclear, cytoplasmic
Applications Western Blot : 0.1-0.5ug/ml
Immunohistochemistry (FFPE) : 0.5-1ug/ml
Immunofluorescence (FFPE) : 2-4ug/ml
Flow Cytometry : 1-3ug/million cells
Limitations This OGT antibody is available for research use only.
Review this product on BioCompare and get a $20 Amazon gift card

Related Products

  • Applications : WB
    Reactivity : Human, Mouse, Rat
    Rab Mono Image
  • Applications : WB, IHC, ELISA
    Reactivity : Human, Mouse
    Pred. Reactivity : Rat, Pig, Rabbit
  • Applications : WB, IHC-P, ELISA (peptide)
    Reactivity : Human, Rat
    Pred. Reactivity : Mouse, Dog

Description

O-linked N-acetylglucosamine (O-GlcNAc) transferase (OGT) is an enzyme that in humans is encoded by the OGT gene. This gene encodes a glycosyltransferase that catalyzes the addition of a single N-acetylglucosamine in O-glycosidic linkage to serine or threonine residues. Since both phosphorylation and glycosylation compete for similar serine or threonine residues, the two processes may compete for sites, or they may alter the substrate specificity of nearby sites by steric or electrostatic effects. The protein contains multiple tetratricopeptide repeats that are required for optimal recognition of substrates. Alternatively spliced transcript variants encoding distinct isoforms have been found for this gene.

Application Notes

Optimal dilution of the OGT antibody should be determined by the researcher.

Immunogen

Amino acids NTKQYTMELERLYLQMWEHYAAGNKPDHMIKPVEVTESA of human OGT were used as the immunogen for the OGT antibody.

Storage

After reconstitution, the OGT antibody can be stored for up to one month at 4oC. For long-term, aliquot and store at -20oC. Avoid repeated freezing and thawing.

Cross
Bulk Quote Request Form
Name*:
Organization*:
Email*:
Phone Number*:
Catalog No.*:
Comments and Specifics(amount, formulation, etc.)*:
Validation code: Captchapackage Image


Can't read the image? click here to refresh.
    *required field

Your bulk quote request has been submitted successfully!

Please contact us if you have any questions.