• Tel: 858.663.9055
  • SeparatorEmail: info@nsjbio.com
  • Tel: 858.663.9055
  • Email: info@nsjbio.com
Home >> Antibodies >> OGDH Antibody / 2-oxoglutarate dehydrogenase

OGDH Antibody / 2-oxoglutarate dehydrogenase (RQ7889)

  Catalog No Formulation Size Price (USD)  
Image RQ7889 0.5mg/ml if reconstituted with 0.2ml sterile DI water 100 ug 439
Bulk quote request
Flow cytometry testing of human Daudi cells with OGDH antibody at 1ug/million cells (blocked with goat sera); Red=cells alone, Green=isotype control, Blue= OGDH antibody.
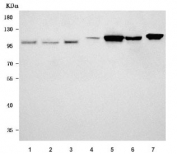
Western blot testing of 1) human HeLa, 2) human HepG2, 3) human Daudi, 4) rat lung, 5) rat heart, 6) mouse lung and 7) mouse heart tissue lysate with OGDH antibody. Predicted molecular weight ~116 kDa.
Availability 1-3 business days
Species Reactivity Human, Mouse, Rat
Format Antigen affinity purified
Clonality Polyclonal (rabbit origin)
Isotype Rabbit IgG
Purity Antigen affinity purified
Buffer Lyophilized from 1X PBS with 2% Trehalose
UniProt Q02218
Applications Western Blot : 0.5-1ug/ml
Flow Cytometry : 1-3ug/million cells
Direct ELISA : 0.1-0.5ug/ml
Limitations This OGDH antibody is available for research use only.
Review this product on BioCompare and get a $20 Amazon gift card

Description

Alpha-ketoglutarate dehydrogenase also known as 2-oxoglutarate dehydrogenase E1 component, mitochondrial is an enzyme that in humans is encoded by the OGDH gene. This gene encodes one subunit of the 2-oxoglutarate dehydrogenase complex. This complex catalyzes the overall conversion of 2-oxoglutarate (alpha-ketoglutarate) to succinyl-CoA and CO(2) during the Krebs cycle. The protein is located in the mitochondrial matrix and uses thiamine pyrophosphate as a cofactor. A congenital deficiency in 2-oxoglutarate dehydrogenase activity is believed to lead to hypotonia, metabolic acidosis, and hyperlactatemia. Alternative splicing results in multiple transcript variants encoding distinct isoforms.[

Application Notes

Optimal dilution of the OGDH antibody should be determined by the researcher.

Immunogen

E. coli-derived recombinant human protein (amino acids M1-S1023) was used as the immunogen for the OGDH antibody.

Storage

After reconstitution, the OGDH antibody can be stored for up to one month at 4oC. For long-term, aliquot and store at -20oC. Avoid repeated freezing and thawing.

Cross
Bulk Quote Request Form
Name*:
Organization*:
Email*:
Phone Number*:
Catalog No.*:
Comments and Specifics(amount, formulation, etc.)*:
Validation code: Captchapackage Image


Can't read the image? click here to refresh.
    *required field

Your bulk quote request has been submitted successfully!

Please contact us if you have any questions.