• Tel: 858.663.9055
  • SeparatorEmail: info@nsjbio.com
  • Tel: 858.663.9055
  • Email: info@nsjbio.com
Home >> Antibodies >> ODC Antibody

ODC Antibody [clone ORN255-1] (V7029)

  Catalog No Formulation Size Price (USD)  
Image V7029-100UG 0.2 mg/ml in 1X PBS with 0.1 mg/ml BSA (US sourced) and 0.05% sodium azide 100 ug 539
Image
V7029-20UG 0.2 mg/ml in 1X PBS with 0.1 mg/ml BSA (US sourced) and 0.05% sodium azide 20 ug 249
Image
V7029SAF-100UG 1 mg/ml in 1X PBS; BSA free, sodium azide free 100 ug 539
Image
V7029IHC-7ML Prediluted in 1X PBS with 0.1 mg/ml BSA (US sourced) and 0.05% sodium azide; *For IHC use only* 7 ml 539
Bulk quote request
Western blot testing of ODC antibody and placenta lysate. Predicted molecular weight ~51 kDa.
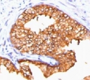
IHC testing of FFPE human prostate carcinoma and ODC antibody (clone ORN255-1). Required HIER: boil tissue sections in pH 9 10mM Tris with 1mM EDTA for 10-20 min.
Flow analysis of permeablized PC3 cells using ODC antibody (green, clone ORN255-1) and isotype control (black).
Species Reactivity Human
Format Purified
Clonality Monoclonal (mouse origin)
Isotype Mouse IgG1, kappa
Clone Name ORN255-1
Purity Protein G affinity chromatography
Gene ID 4953
Localization Cytoplasmic
Applications Flow Cytometry : 1-2ug/million cells
Western Blot : 1-2ug/ml
Immunohistochemistry (FFPE) : 0.5-1ug/ml for 30 min at RT
Prediluted IHC Only Format : incubate for 30 min at RT (1)
Limitations This ODC antibody is available for research use only.
Review this product on BioCompare and get a $20 Amazon gift card

Related Products

Description

Ornithine Decarboxylase (ODC) is the rate-limiting enzyme of the polyamine biosynthesis pathway which catalyzes ornithine to putrescine. The activity level for the enzyme varies in response to growth-promoting stimuli and exhibits a high turnover rate in comparison to other mammalian proteins. Originally localized to both chromosomes 2 and 7, the gene encoding this enzyme has been determined to be located on 2p25, with a pseudogene located on 7q31-qter. Multiple alternatively spliced transcript variants encoding distinct isoforms have been identified. [RefSeq]

Application Notes

Titering of the ODC antibody may be required for optimal performance.

1. The prediluted format is supplied in a dropper bottle and is optimized for use in IHC. After epitope retrieval step (if required), drip mAb solution onto the tissue section and incubate at RT for 30 min.

Immunogen

Recombinant human protein was used as the immunogen for this ODC antibody.

Storage

Store the ODC antibody at 2-8oC (with azide) or aliquot and store at -20oC or colder (without azide).

Cross
Bulk Quote Request Form
Name*:
Organization*:
Email*:
Phone Number*:
Catalog No.*:
Comments and Specifics(amount, formulation, etc.)*:
Validation code: Captchapackage Image


Can't read the image? click here to refresh.
    *required field

Your bulk quote request has been submitted successfully!

Please contact us if you have any questions.