• Tel: 858.663.9055
  • SeparatorEmail: info@nsjbio.com
  • Tel: 858.663.9055
  • Email: info@nsjbio.com
Home >> Antibodies >> ODC-1 Antibody

ODC-1 Antibody [clone ODC1/485] (V2215)

  Catalog No Formulation Size Price (USD)  
Image V2215-100UG 0.2 mg/ml in 1X PBS with 0.1 mg/ml BSA (US sourced) and 0.05% sodium azide 100 ug 539
Image
V2215-20UG 0.2 mg/ml in 1X PBS with 0.1 mg/ml BSA (US sourced) and 0.05% sodium azide 20 ug 249
Image
V2215SAF-100UG 1 mg/ml in 1X PBS; BSA free, sodium azide free 100 ug 539
Image
V2215IHC-7ML Prediluted in 1X PBS with 0.1 mg/ml BSA (US sourced) and 0.05% sodium azide; *For IHC use only* 7 ml 539
Bulk quote request
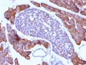
Formalin/paraffin human prostate carcinoma stained with ODC-1 antibody (clone ODC1/485).
Western blot testing of human placenta lysate using ODC-1 antibody (clone ODC1/485).
Flow analysis of permeablized PC3 cells using ODC-1 antibody (clone ODC1/485).
Immunofluorescence testing of LNCaP cells and Alexa Fluor 488 conjugated ODC-1 antibody (clone ODC1/485).
Formalin/paraffin rat pancreas stained with ODC-1 antibody (clone ODC1/485).
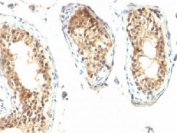
Formalin/paraffin human testicular carcinoma stained with ODC-1 antibody (clone ODC1/485).
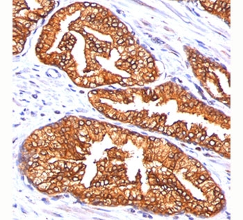
Formalin/paraffin mouse pancreas stained with ODC-1 antibody (clone ODC1/485).
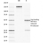
SDS-PAGE analysis of purified, BSA-free ODC-1 antibody (clone ODC1/485) as confirmation of integrity and purity.
Western blot testing of human PC3 cell lysate using ODC-1 antibody (clone ODC1/485).
Species Reactivity Human, Mouse, Rat
Format Purified
Clonality Monoclonal (mouse origin)
Isotype Mouse IgG1, kappa
Clone Name ODC1/485
Purity Protein G affinity chromatography
Gene ID 4953
Localization Cytoplasmic
Applications Flow Cytometry : 1-2ug/million cells
Immunofluorescence : 1-2ug/ml
Western Blot : 1-2ug/ml
Immunohistochemistry (FFPE) : 0.25-0.5ug/ml for 30 min at RT (1) (2)
Limitations This ODC-1 antibody is available for research use only.
Review this product on BioCompare and get a $20 Amazon gift card

Related Products

Description

ODC-1 antibody clone ODC1/485 is a monoclonal antibody that recognizes ornithine decarboxylase 1, the rate limiting enzyme in polyamine biosynthesis. ODC-1 catalyzes the decarboxylation of ornithine to form putrescine, which is subsequently converted into spermidine and spermine. These polyamines are essential for cell growth, proliferation, and differentiation. Because of its pivotal role in cellular metabolism, ODC-1 is a major focus in cancer biology, developmental research, and metabolic regulation. NSJ Bioreagents supplies ODC-1 antibody clone ODC1/485 to support investigations into cell growth pathways, tumor progression, and therapeutic targeting.

ODC-1 antibody clone ODC1/485 produces distinct cytoplasmic staining in cells actively engaged in polyamine synthesis. High ODC-1 expression is commonly observed in rapidly dividing tissues and tumors. Researchers use this antibody to explore the regulation of ODC-1 and its impact on oncogenesis. Overexpression of ODC-1 has been associated with breast, prostate, and colon cancers, where it promotes tumor cell proliferation and survival. Detecting ODC-1 with clone ODC1/485 provides insight into its role as both a biomarker and a potential therapeutic target.

In addition to cancer research, ODC-1 antibody clone ODC1/485 has applications in developmental biology. Polyamines are essential for embryonic growth and tissue differentiation, and ODC-1 activity is tightly regulated during development. This antibody allows researchers to track changes in ODC-1 expression during critical stages of growth, helping clarify how metabolic regulation influences developmental outcomes.

ODC-1 is also studied in the context of immune function, as polyamines influence T cell activation and macrophage polarization. ODC-1 antibody clone ODC1/485 has been applied to studies exploring how shifts in polyamine metabolism affect immune responses, inflammation, and host defense.

This antibody is validated for use in tissue and cell based assays, consistently delivering strong cytoplasmic signals. It has been cited in publications covering oncology, developmental biology, and metabolism. Alternate names include ornithine decarboxylase antibody, polyamine synthesis enzyme ODC antibody, and growth regulation enzyme ODC-1 antibody.

Application Notes

The concentration stated for each application is a general starting point. Variations in protocols, secondaries and substrates may require the antibody to be titered up or down for optimal performance.

1. Staining of formalin-fixed tissues requires boiling tissue sections in pH 9 10mM Tris with 1mM EDTA for 10-20 min followed by cooling at RT for 20 minutes.
2. The prediluted format is supplied in a dropper bottle and is optimized for use in IHC. After epitope retrieval step (if required), drip mAb solution onto the tissue section and incubate at RT for 30 min.

Immunogen

Recombinant human ODC-1 protein was used as the immunogen for this antibody.

Storage

Store the ODC-1 antibody at 2-8oC (with azide) or aliquot and store at -20oC or colder (without azide).

Cross
Bulk Quote Request Form
Name*:
Organization*:
Email*:
Phone Number*:
Catalog No.*:
Comments and Specifics(amount, formulation, etc.)*:
Validation code: Captchapackage Image


Can't read the image? click here to refresh.
    *required field

Your bulk quote request has been submitted successfully!

Please contact us if you have any questions.