• Tel: 858.663.9055
  • SeparatorEmail: info@nsjbio.com
  • Tel: 858.663.9055
  • Email: info@nsjbio.com
Home >> Antibodies >> OCT-2 Antibody / POU2F2

OCT-2 Antibody / POU2F2 [clone PD2F2-1] (V3900)

  Catalog No Formulation Size Price (USD)  
Image V3900-100UG 0.2 mg/ml in 1X PBS with 0.1 mg/ml BSA (US sourced) and 0.05% sodium azide 100 ug 539
Image
V3900-20UG 0.2 mg/ml in 1X PBS with 0.1 mg/ml BSA (US sourced) and 0.05% sodium azide 20 ug 249
Image
V3900SAF-100UG 1 mg/ml in 1X PBS; BSA free, sodium azide free 100 ug 539
Bulk quote request
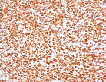
IHC testing of FFPE human tonsil with OCT-2 antibody (clone PD2F2-1). HIER: boil tissue sections in pH 9 10mM Tris with 1mM EDTA for 10-20 min followed by cooling at RT for 20 min.
Western blot testing of human Ramos lysate with OCT-2 antibody (clone PD2F2-1). Expected molecular weight: isoforms from 43~62 kDa.
Availability 1-3 business days
Species Reactivity Human
Format Purified
Clonality Monoclonal (mouse origin)
Isotype Mouse IgG1, kappa
Clone Name PD2F2-1
Purity Protein G affinity
UniProt P09086
Localization Nuclear
Applications Western Blot : 1-2ug/ml
Immunohistochemistry (FFPE) : 1-2ug/ml for 30 min at RT
Limitations This OCT-2 antibody is available for research use only.
Review this product on BioCompare and get a $20 Amazon gift card

Related Products

Description

Transcription factor that specifically binds to the octamer motif (5'-ATTTGCAT-3'). Regulates transcription in a number of tissues in addition to activating immunoglobulin gene expression. Modulates transcription transactivation by NR3C1, AR and PGR. Isoform 5 activates the U2 small nuclear RNA (snRNA) promoter. [UniProt]

Application Notes

The stated application concentrations are suggested starting points. Titration of the OCT-2 antibody may be required due to differences in protocols and secondary/substrate sensitivity.

Immunogen

A portion of amino acids 112-297 from the human protein was used as the immunogen for the OCT-2 antibody.

Storage

Store the OCT-2 antibody at 2-8oC (with azide) or aliquot and store at -20oC or colder (without azide).

Cross
Bulk Quote Request Form
Name*:
Organization*:
Email*:
Phone Number*:
Catalog No.*:
Comments and Specifics(amount, formulation, etc.)*:
Validation code: Captchapackage Image


Can't read the image? click here to refresh.
    *required field

Your bulk quote request has been submitted successfully!

Please contact us if you have any questions.