• Tel: 858.663.9055
  • SeparatorEmail: info@nsjbio.com
  • Tel: 858.663.9055
  • Email: info@nsjbio.com
Home >> Antibodies >> OCRL-1 Antibody

OCRL-1 Antibody (RQ7887)

  Catalog No Formulation Size Price (USD)  
Image RQ7887 0.5mg/ml if reconstituted with 0.2ml sterile DI water 100 ug 439
Bulk quote request
Immunofluorescent staining of FFPE human A549 cells with OCRL-1 antibody (red) and DAPI nuclear stain (blue). HIER: steam section in pH6 citrate buffer for 20 min.
IHC staining of FFPE human liver cancer tissue with OCRL-1 antibody. HIER: boil tissue sections in pH8 EDTA for 20 min and allow to cool before testing.
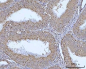
IHC staining of FFPE human endometrioid adenocarcinoma tissue with OCRL-1 antibody. HIER: boil tissue sections in pH8 EDTA for 20 min and allow to cool before testing.
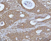
IHC staining of FFPE human colon adenocarcinoma tissue with OCRL-1 antibody. HIER: boil tissue sections in pH8 EDTA for 20 min and allow to cool before testing.
Western blot testing of human 1) SH-SY5Y, 2) 293T and 3) HeLa cell lysate with OCRL-1 antibody. Predicted molecular weight ~104 kDa.
Availability 1-3 business days
Species Reactivity Human
Format Antigen affinity purified
Clonality Polyclonal (rabbit origin)
Isotype Rabbit IgG
Purity Antigen affinity purified
Buffer Lyophilized from 1X PBS with 2% Trehalose
UniProt Q01968
Localization Cytoplasmic
Applications Western Blot : 0.5-1ug/ml
Immunohistochemistry (FFPE) : 2-5ug/ml
Immunofluorescence (FFPE) : 5ug/ml
Direct ELISA : 0.1-0.5ug/ml
Limitations This OCRL-1 antibody is available for research use only.
Review this product on BioCompare and get a $20 Amazon gift card

Description

Inositol polyphosphate 5-phosphatase OCRL-1, also known as Lowe oculocerebrorenal syndrome protein, is an enzyme encoded by the OCRL gene located on the X chromosome in humans. This gene encodes an inositol polyphosphate 5-phosphatase. This protein is involved in regulating membrane trafficking and is located in numerous subcellular locations including the trans-Golgi network, clathrin-coated vesicles and endosomes and the plasma membrane. This protein may also play a role in primary cilium formation. Mutations in this gene cause oculocerebrorenal syndrome of Lowe and also Dent disease. Alternate splicing results in multiple transcript variants.

Application Notes

Optimal dilution of the OCRL-1 antibody should be determined by the researcher.

Immunogen

E. coli-derived recombinant human protein (amino acids M1-D901) was used as the immunogen for the OCRL-1 antibody.

Storage

After reconstitution, the OCRL-1 antibody can be stored for up to one month at 4oC. For long-term, aliquot and store at -20oC. Avoid repeated freezing and thawing.

Cross
Bulk Quote Request Form
Name*:
Organization*:
Email*:
Phone Number*:
Catalog No.*:
Comments and Specifics(amount, formulation, etc.)*:
Validation code: Captchapackage Image


Can't read the image? click here to refresh.
    *required field

Your bulk quote request has been submitted successfully!

Please contact us if you have any questions.