• Tel: 858.663.9055
  • SeparatorEmail: info@nsjbio.com
  • Tel: 858.663.9055
  • Email: info@nsjbio.com
Home >> Antibodies >> Occludin Antibody

Occludin Antibody [clone OCLN/2181] (V7646)

  Catalog No Formulation Size Price (USD)  
Image V7646-100UG 0.2 mg/ml in 1X PBS with 0.1 mg/ml BSA (US sourced) and 0.05% sodium azide 100 ug 539
Image
V7646-20UG 0.2 mg/ml in 1X PBS with 0.1 mg/ml BSA (US sourced) and 0.05% sodium azide 20 ug 249
Image
V7646SAF-100UG 1 mg/ml in 1X PBS; BSA free, sodium azide free 100 ug 539
Bulk quote request
IHC staining of FFPE human thyroid carinoma with Occludin antibody (clone OCLN/2181). HIER: boil tissue sections in pH 9 10mM Tris with 1mM EDTA for 10-20 min and allow to cool before testing.
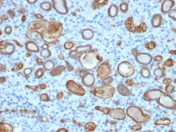
IHC staining of FFPE human renal cell carinoma with Occludin antibody (clone OCLN/2181). HIER: boil tissue sections in pH 9 10mM Tris with 1mM EDTA for 10-20 min and allow to cool before testing.
Western blot testing of human MCF7 cell lysate with Occludin antibody. Predicted molecular weight ~59 kDa.
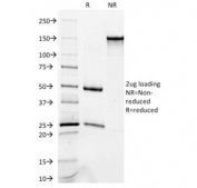
SDS-PAGE analysis of purified, BSA-free Occludin antibody (clone OCLN/2181) as confirmation of integrity and purity.
Western blot testing of human kidney tissue lysate with Occludin antibody. Predicted molecular weight ~59 kDa.
Availability 1-3 business days
Species Reactivity Human
Format Purified
Clonality Monoclonal (mouse origin)
Isotype Mouse IgG1, kappa
Clone Name OCLN/2181
Purity Protein G affinity chromatography
UniProt Q16625
Localization Cell surface, cytoplasmic
Applications Western Blot : 1-2ug/ml
Immunohistochemistry (FFPE) : 1-2ug/ml
Limitations This Occludin antibody is available for research use only.
Review this product on BioCompare and get a $20 Amazon gift card

Related Products

Description

Occludin is a tetraspan integral membrane protein in epithelial and endothelial tight junction (TJ) structures that can contain two extracellular loops. The protein exists in a variety of phosphorylated forms. Phosphorylation is involved in regulating both the localization and the function of Occludin. Expression of Occludin is upregulated by polyunsaturated fatty acids, increasing trans-endothelial cell resistance and reducing cellular permeability to large molecules. The level of Occludin varies greatly depending on tissue; in brain tissue, Occludin is highly expressed at cell-cell contact sites. Non-neural tissues show lower expression and discontinuous distribution. Up-regulation of epithelial Occludin may play a role in enhancing paracellular permeability and be related to the damage to the tight junction.

Application Notes

Optimal dilution of the Occludin antibody should be determined by the researcher.

Immunogen

A recombinant human partial protein (amino acids 282-415) was used as the immunogen for the Occludin antibody.

Storage

Store the Occludin antibody at 2-8oC (with azide) or aliquot and store at -20oC or colder (without azide).

Cross
Bulk Quote Request Form
Name*:
Organization*:
Email*:
Phone Number*:
Catalog No.*:
Comments and Specifics(amount, formulation, etc.)*:
Validation code: Captchapackage Image


Can't read the image? click here to refresh.
    *required field

Your bulk quote request has been submitted successfully!

Please contact us if you have any questions.