• Tel: 858.663.9055
  • SeparatorEmail: info@nsjbio.com
  • Tel: 858.663.9055
  • Email: info@nsjbio.com
Home >> Antibodies >> Occludin Antibody / OCLN

Occludin Antibody / OCLN [clone OCLN/2182] (V5085)

  Catalog No Formulation Size Price (USD)  
Image V5085-100UG 0.2 mg/ml in 1X PBS with 0.1 mg/ml BSA (US sourced), 0.05% sodium azide 100 ug 539
Image
V5085-20UG 0.2 mg/ml in 1X PBS with 0.1 mg/ml BSA (US sourced), 0.05% sodium azide 20 ug 249
Image
V5085SAF-100UG 1 mg/ml in 1X PBS; BSA free, sodium azide free 100 ug 539
Bulk quote request
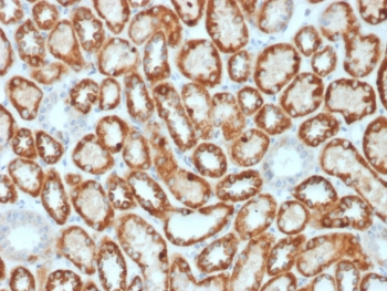
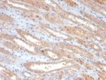
IHC staining of FFPE human kidney tissue with Occludin antibody (clone OCLN/2182). HIER: boil tissue sections in pH 9 10mM Tris with 1mM EDTA for 20 min and allow to cool before testing.
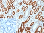
IHC staining of FFPE human kidney tissue with Occludin antibody (clone OCLN/2182). Inset: PBS used in place of primary Ab (secondary Ab negative control). HIER: boil tissue sections in pH 9 10mM Tris with 1mM EDTA for 20 min and allow to cool before testing.
IHC staining of FFPE human kidney tissue with Occludin antibody (clone OCLN/2182). HIER: boil tissue sections in pH 9 10mM Tris with 1mM EDTA for 20 min and allow to cool before testing.
Availability 1-3 business days
Species Reactivity Human
Format Purified
Clonality Monoclonal (mouse origin)
Isotype Mouse IgG1, kappa
Clone Name OCLN/2182
Purity Protein A/G affinity
UniProt Q16625
Localization Cell Surface, Cytoplasm
Applications Immunohistochemistry (FFPE) : 1-2ug/ml for 30 min at RT
Limitations This Occludin antibody is available for research use only.
Review this product on BioCompare and get a $20 Amazon gift card

Related Products

Description

Occludin is a tetraspan integral membrane protein in epithelial and endothelial tight junction (TJ) structures that can contain two extracellular loops. The protein exists in a variety of phosphorylated forms. Phosphorylation is involved in regulating both the localization and the function of Occludin. Expression of Occludin is upregulated by polyunsaturated fatty acids, increasing trans-endothelial cell resistance and reducing cellular permeability to large molecules. The level of Occludin varies greatly depending on tissue; in brain tissue, Occludin is highly expressed at cell-cell contact sites. Non-neural tissues show lower expression and discontinuous distribution. Up-regulation of epithelial Occludin may play a role in enhancing paracellular permeability and be related to the damage to the tight junction.

Application Notes

Optimal dilution of the Occludin antibody should be determined by the researcher.

Immunogen

A recombinant human protein fragment (within amino acids 282-415) was used as the immunogen for the Occludin antibody.

Storage

Aliquot the Occludin antibody and store frozen at -20oC or colder. Avoid repeated freeze-thaw cycles.

Cross
Bulk Quote Request Form
Name*:
Organization*:
Email*:
Phone Number*:
Catalog No.*:
Comments and Specifics(amount, formulation, etc.)*:
Validation code: Captchapackage Image


Can't read the image? click here to refresh.
    *required field

Your bulk quote request has been submitted successfully!

Please contact us if you have any questions.