• Tel: 858.663.9055
  • SeparatorEmail: info@nsjbio.com
  • Tel: 858.663.9055
  • Email: info@nsjbio.com
Home >> Antibodies >> NUR77 Antibody

NUR77 Antibody (R34125)

  Catalog No Formulation Size Price (USD)  
Image R34125-100UG 0.5 mg/ml in 1X TBS, pH7.3, with 0.5% BSA (US sourced) and 0.02% sodium azide 100 ug 449
Bulk quote request
Western blot testing of human thyroid lysate with NUR77 antibody at 2ug/ml. Predicted molecular weight ~64 kDa (isoform 1).
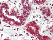
IHC testing of FFPE human breast tissue with NUR77 antibody at 5ug/ml. Steamed antigen retrieval with citrate buffer pH 6, AP-staining.
Availability 1-3 business days
Species Reactivity Human
Format Antigen affinity purified
Clonality Polyclonal (goat origin)
Isotype Goat Ig
Purity Antigen affinity
Gene ID 3164
Localization Cytoplasmic, nuclear
Applications Western Blot : 1-3ug/ml
IHC (FFPE) : 5ug/ml
ELISA (peptide) LOD : 1:32000
Limitations This NUR77 antibody is available for research use only.
Review this product on BioCompare and get a $20 Amazon gift card

Related Products

Description

Additional name(s) for this target protein: Nuclear receptor subfamily 4, group A, member 1; NR4A1

Application Notes

Optimal dilution of the NUR77 antibody should be determined by the researcher.

1. This Ab is specific for isoform 1 of the protein.

Immunogen

Amino acids GRLPSKPKQPPDAS were used as the immunogen for this NUR77 antibody.

Storage

Aliquot and store the NUR77 antibody at -20oC.

Cross
Bulk Quote Request Form
Name*:
Organization*:
Email*:
Phone Number*:
Catalog No.*:
Comments and Specifics(amount, formulation, etc.)*:
Validation code: Captchapackage Image


Can't read the image? click here to refresh.
    *required field

Your bulk quote request has been submitted successfully!

Please contact us if you have any questions.