• Tel: 858.663.9055
  • SeparatorEmail: info@nsjbio.com
  • Tel: 858.663.9055
  • Email: info@nsjbio.com
Home >> Antibodies >> NUP58 Antibody / 58 kDa nucleoporin / Nucleoporin-like protein 1

NUP58 Antibody / 58 kDa nucleoporin / Nucleoporin-like protein 1 (RQ6665)

  Catalog No Formulation Size Price (USD)  
Image RQ6665 0.5mg/ml if reconstituted with 0.2ml sterile DI water 100 ug 439
Bulk quote request
Flow cytometry testing of human HL60 cells with NUP58 antibody at 1ug/million cells (blocked with goat sera); Red=cells alone, Green=isotype control, Blue= NUP58 antibody.
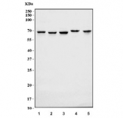
Western blot testing of 1) human HeLa, 2) human Caco-2, 3) human HepG2, 4) human HCCT and 5) rat pancreas tissue lysate with NUP58 antibody. Predicted molecular weight: 58-61 kDa.
Availability 1-3 business days
Species Reactivity Human, Rat
Format Antigen affinity purified
Clonality Polyclonal (rabbit origin)
Isotype Rabbit IgG
Purity Antigen affinity purified
Buffer Lyophilized from 1X PBS with 2% Trehalose
UniProt Q9BVL2
Applications Western Blot : 1-2ug/ml
Flow Cytometry : 1-3ug/million cells
Direct ELISA : 0.1-0.5ug/ml
Limitations This NUP58 antibody is available for research use only.
Review this product on BioCompare and get a $20 Amazon gift card

Description

This gene encodes a member of the nucleoporin family that shares 87% sequence identity with rat nucleoporin p58. The protein is localized to the nuclear rim and is a component of the nuclear pore complex (NPC). All molecules entering or leaving the nucleus either diffuse through or are actively transported by the NPC. Alternate transcriptional splice variants, encoding different isoforms, have been characterized.

Application Notes

Optimal dilution of the NUP58 antibody should be determined by the researcher.

Immunogen

Recombinant human protein (amino acids R235-E438) was used as the immunogen for the NUP58 antibody.

Storage

After reconstitution, the NUP58 antibody can be stored for up to one month at 4oC. For long-term, aliquot and store at -20oC. Avoid repeated freezing and thawing.

Cross
Bulk Quote Request Form
Name*:
Organization*:
Email*:
Phone Number*:
Catalog No.*:
Comments and Specifics(amount, formulation, etc.)*:
Validation code: Captchapackage Image


Can't read the image? click here to refresh.
    *required field

Your bulk quote request has been submitted successfully!

Please contact us if you have any questions.