• Tel: 858.663.9055
  • SeparatorEmail: info@nsjbio.com
  • Tel: 858.663.9055
  • Email: info@nsjbio.com
Home >> Antibodies >> NUP54 Antibody / Nucleoporin 54

NUP54 Antibody / Nucleoporin 54 (RQ8415)

  Catalog No Formulation Size Price (USD)  
Image RQ8415 0.5mg/ml if reconstituted with 0.2ml sterile DI water 100 ug 439
Bulk quote request
Immunofluorescent staining of FFPE human U-2 OS cells with NUP54 antibody (green) and phalloidin (red). HIER: steam section in pH6 citrate buffer for 20 min.
IHC staining of FFPE rat brain tissue with NUP54 antibody. HIER: boil tissue sections in pH8 EDTA for 20 min and allow to cool before testing.
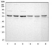
Western blot testing of 1) human HeLa, 2) human K562, 3) human HepG2, 4) human A549, 5) rat RH35 and 6) mouse NIH 3T3 cell lysate with NUP54 antibody. Predicted molecular weight ~55 kDa.
Flow cytometry testing of fixed and permeabilized human HeLa cells with NUP54 antibody at 1ug/million cells (blocked with goat sera); Red=cells alone, Green=isotype control, Blue= NUP54 antibody.
Availability 1-3 business days
Species Reactivity Human, Mouse, Rat
Format Antigen affinity purified
Clonality Polyclonal (rabbit origin)
Isotype Rabbit IgG
Purity Antigen affinity purified
Buffer Lyophilized from 1X PBS with 2% Trehalose
UniProt Q7Z3B4
Applications Western Blot : 0.5-1ug/ml
Immunohistochemistry (FFPE) : 2-5ug/ml
Immunofluorescence : 5ug/ml
Flow Cytometry : 1-3ug/million cells
Direct ELISA : 0.1-0.5ug/ml
Limitations This NUP54 antibody is available for research use only.
Review this product on BioCompare and get a $20 Amazon gift card

Related Products

Description

Nucleoporin 54 (Nup54) is a protein that in humans is encoded by the NUP54 gene. The nuclear envelope creates distinct nuclear and cytoplasmic compartments in eukaryotic cells. It consists of two concentric membranes perforated by nuclear pores, large protein complexes that form aqueous channels to regulate the flow of macromolecules between the nucleus and the cytoplasm. These complexes are composed of at least 100 different polypeptide subunits, many of which belong to the nucleoporin family. This gene encodes a member of the phe-gly (FG) repeat-containing nucleoporin subset. Multiple alternatively spliced transcript variants have been found for this gene.

Application Notes

Optimal dilution of the NUP54 antibody should be determined by the researcher.

Immunogen

An E.coli-derived human recombinant protein (Q166-H493) was used as the immunogen for the NUP54 antibody.

Storage

After reconstitution, the NUP54 antibody can be stored for up to one month at 4oC. For long-term, aliquot and store at -20oC. Avoid repeated freezing and thawing.

Cross
Bulk Quote Request Form
Name*:
Organization*:
Email*:
Phone Number*:
Catalog No.*:
Comments and Specifics(amount, formulation, etc.)*:
Validation code: Captchapackage Image


Can't read the image? click here to refresh.
    *required field

Your bulk quote request has been submitted successfully!

Please contact us if you have any questions.