• Tel: 858.663.9055
  • SeparatorEmail: info@nsjbio.com
  • Tel: 858.663.9055
  • Email: info@nsjbio.com
Home >> Antibodies >> NUP50 Antibody / Nucleoporin 50

NUP50 Antibody / Nucleoporin 50 (FY12436)

  Catalog No Formulation Size Price (USD)  
Image FY12436 Adding 0.2 ml of distilled water will yield a concentration of 500 ug/ml 100 ug 439
Bulk quote request
Immunofluorescent staining of NUP50 using anti-NUP50 antibody (red). NUP50 was detected in a paraffin-embedded section of rat testis tissue. Heat mediated antigen retrieval was performed in EDTA buffer (pH 8.0, epitope retrieval solution). The tissue section was blocked with 10% goat serum. The tissue section was then incubated with 5 ug/ml rabbit anti-NUP50 antibody overnight at 4oC. Cy3 Conjugated Goat Anti-Rabbit IgG was used as secondary antibody at 1:500 dilution and incubated for 30 minutes at 37oC. The section was counterstained with DAPI nuclear stain (blue). Visualize using a fluorescence microscope and filter sets appropriate for the label used.
Western blot analysis of NUP50 using anti-NUP50 antibody. Electrophoresis was performed on a 10% SDS-PAGE gel at 80V (Stacking gel) / 120V (Resolving gel) for 2 hours. Lane 1: human whole cell lysates, Lane 2: human U2OS whole cell lysates, Lane 3: human Caco-2 whole cell lysates, Lane 4: human HepG2 whole cell lysates, Lane 5: rat testis tissue lysates, Lane 6: rat C6 whole cell lysates, Lane 7: mouse Neuro-2a whole cell lysates. After electrophoresis, proteins were transferred to a nitrocellulose membrane at 150 mA for 50-90 minutes. Blocked the membrane with 5% non-fat milk/TBS for 1.5 hour at RT. The membrane was incubated with rabbit anti-NUP50 antibody at 0.5 ug/ml overnight at 4oC, then washed with TBS-0.1%Tween 3 times with 5 minutes each and probed with a goat anti-rabbit IgG-HRP secondary antibody at a dilution of 1:5000 for 1.5 hour at RT. The signal was developed using an ECL Plus Western Blotting Substrate. The expected molecular weight of NUP50 is ~50 kDa.
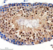
Immunohistochemical staining of NUP50 using anti-NUP50 antibody. NUP50 was detected in a paraffin-embedded section of rat testis tissue. Heat mediated antigen retrieval was performed in EDTA buffer (pH 8.0, epitope retrieval solution). The tissue section was blocked with 10% goat serum. The tissue section was then incubated with 2 ug/ml rabbit anti-NUP50 antibody overnight at 4oC. Peroxidase Conjugated Goat Anti-rabbit IgG was used as secondary antibody and incubated for 30 minutes at 37oC. The tissue section was developed using an HRP secondary and DAB substrate.
Immunofluorescent staining of NUP50 using anti-NUP50 antibody (green) and anti-Beta Tubulin antibody (red). NUP50 was detected in an immunocytochemical section of U2OS cells. Enzyme antigen retrieval was performed using IHC enzyme antigen retrieval reagent for 15 mins. The cells were blocked with 10% goat serum. And then incubated with 5 ug/ml rabbit anti-NUP50 antibody and mouse anti-Beta Tubulin antibody overnight at 4oC. DyLight 488 Conjugated Goat Anti-Rabbit IgG and Cy3 Conjugated Goat Anti-Mouse IgG were used as secondary antibody at 1:500 dilution and incubated for 30 minutes at 37oC. Visualize using a fluorescence microscope and filter sets appropriate for the label used.
Availability 1-2 days
Species Reactivity Human, Mouse, Rat
Format Lyophilized
Clonality Polyclonal (rabbit origin)
Isotype Rabbit IgG
Purity Immunogen affinity purified
Buffer Each vial contains 4 mg Trehalose, 0.9 mg NaCl, 0.2 mg Na2HPO4.
UniProt Q9UKX7
Localization Nuclear
Applications Western Blot : 0.25-0.5ug/ml
Immunohistochemistry : 2-5ug/ml
Immunofluorescence : 5ug/ml
Immunocytochemistry/Immunofluorescence : 5ug/ml
Limitations This NUP50 antibody is available for research use only.
Review this product on BioCompare and get a $20 Amazon gift card

Related Products

Description

The NUP50 antibody targets Nuclear pore complex protein Nup50, a nuclear transport factor encoded by the NUP50 gene. Nuclear pore complex protein Nup50 is a dynamic component of the nuclear pore complex (NPC), where it functions in importin-alpha recycling and nuclear import termination. By interacting with importin-beta, RanGTP, and the nucleoporin Nup153, Nup50 promotes the release of import cargo into the nucleoplasm. The NUP50 antibody allows detailed examination of nucleocytoplasmic trafficking, NPC composition, and nuclear transport regulation.

Nuclear pore complex protein Nup50 belongs to the FG (phenylalanine-glycine) repeat�containing family of nucleoporins that mediate selective permeability within the nuclear pore. It localizes to the nuclear basket region of the NPC, where it acts as a cofactor in cargo disassembly and receptor recycling. The NUP50 antibody supports visualization of its distribution along the inner nuclear envelope and nucleoplasmic face, highlighting its mobility during interphase and mitosis. Its high turnover reflects an adaptable role in transport regulation and chromatin organization.

Beyond its role in nuclear transport, Nuclear pore complex protein Nup50 has been implicated in gene regulation. It interacts with chromatin and transcription factors, suggesting a link between nuclear import and transcriptional control. The NUP50 antibody facilitates studies of this regulatory function, allowing researchers to explore how Nup50 coordinates transport with nuclear gene expression. Nup50 depletion alters transcriptional activity and nucleoplasmic organization, leading to cell-cycle arrest and reduced proliferation.

Defects in NUP50 expression have been associated with neurodevelopmental and neuromuscular disorders. Mutations or reduced expression may impair nuclear transport of essential regulatory proteins. The NUP50 antibody supports investigations into these pathologies, enabling assessment of expression and localization in neuronal and muscle tissues. It also serves as a useful marker for nuclear pore integrity in aging and neurodegenerative models.

The NUP50 antibody performs effectively in western blotting, immunofluorescence, and immunohistochemistry, showing characteristic nuclear-rim and nucleoplasmic staining. NSJ Bioreagents provides this antibody with verified specificity and reproducibility for use in cell biology, molecular genetics, and transport research. By enabling precise detection of Nuclear pore complex protein Nup50, the NUP50 antibody advances understanding of nuclear transport dynamics, pore-complex organization, and nuclear signaling regulation.

Application Notes

Optimal dilution of the NUP50 antibody should be determined by the researcher.

Immunogen

A synthetic peptide corresponding to a sequence in the middle region of human NUP50 was used as the immunogen for the NUP50 antibody.

Storage

After reconstitution, the NUP50 antibody can be stored for up to one month at 4oC. For long-term, aliquot and store at -20oC. Avoid repeated freezing and thawing.

Cross
Bulk Quote Request Form
Name*:
Organization*:
Email*:
Phone Number*:
Catalog No.*:
Comments and Specifics(amount, formulation, etc.)*:
Validation code: Captchapackage Image


Can't read the image? click here to refresh.
    *required field

Your bulk quote request has been submitted successfully!

Please contact us if you have any questions.