• Tel: 858.663.9055
  • SeparatorEmail: info@nsjbio.com
  • Tel: 858.663.9055
  • Email: info@nsjbio.com
Home >> Antibodies >> NUP210 Antibody / Nuclear pore membrane glycoprotein 210

NUP210 Antibody / Nuclear pore membrane glycoprotein 210 (RQ6666)

  Catalog No Formulation Size Price (USD)  
Image RQ6666 0.5mg/ml if reconstituted with 0.2ml sterile DI water 100 ug 439
Bulk quote request
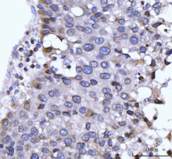
IHC staining of FFPE human liver tissue with NUP210 antibody. HIER: boil tissue sections in pH8 EDTA for 20 min and allow to cool before testing.
IHC staining of FFPE human liver tissue with NUP210 antibody. HIER: boil tissue sections in pH8 EDTA for 20 min and allow to cool before testing.
IHC staining of FFPE human appendiceal adenocarcinoma tissue with NUP210 antibody. HIER: boil tissue sections in pH8 EDTA for 20 min and allow to cool before testing.
Immunofluorescent staining of FFPE human MCF7 cells with NUP210 antibody (red) and DAPI nuclear stain (blue). HIER: steam section in pH6 citrate buffer for 20 min.
Western blot testing of 1) human MCF7, 2) human HEK293 and 3) rat thymus tissue lysate with NUP210 antibody. Predicted molecular weight ~205 kDa but may be observed at higher molecular weights due to glycosylation.
Flow cytometry testing of human JK-1 cells with NUP210 antibody at 1ug/million cells (blocked with goat sera); Red=cells alone, Green=isotype control, Blue= NUP210 antibody.
Availability 1-3 business days
Species Reactivity Human, Rat
Format Antigen affinity purified
Clonality Polyclonal (rabbit origin)
Isotype Rabbit IgG
Purity Antigen affinity purified
Buffer Lyophilized from 1X PBS with 2% Trehalose
UniProt Q8TEM1
Localization Cytoplasm, nuclear membrane
Applications Western Blot : 1-2ug/ml
Immunofluorescence (FFPE) : 5ug/ml
Flow Cytometry : 1-3ug/million cells
Immunohistochemistry (FFPE) : 2-5ug/ml
Direct ELISA : 0.1-0.5ug/ml
Limitations This NUP210 antibody is available for research use only.
Review this product on BioCompare and get a $20 Amazon gift card

Description

The nuclear pore complex is a massive structure that extends across the nuclear envelope, forming a gateway that regulates the flow of macromolecules between the nucleus and the cytoplasm. Nucleoporins are the main components of the nuclear pore complex in eukaryotic cells. The protein encoded by this gene is a membrane-spanning glycoprotein that is a major component of the nuclear pore complex. Multiple pseudogenes related to this gene are located on chromosome 3.

Application Notes

Optimal dilution of the NUP210 antibody should be determined by the researcher.

Immunogen

Recombinant human protein (amino acids R221-K1724) was used as the immunogen for the NUP210 antibody.

Storage

After reconstitution, the NUP210 antibody can be stored for up to one month at 4oC. For long-term, aliquot and store at -20oC. Avoid repeated freezing and thawing.

Cross
Bulk Quote Request Form
Name*:
Organization*:
Email*:
Phone Number*:
Catalog No.*:
Comments and Specifics(amount, formulation, etc.)*:
Validation code: Captchapackage Image


Can't read the image? click here to refresh.
    *required field

Your bulk quote request has been submitted successfully!

Please contact us if you have any questions.