• Tel: 858.663.9055
  • SeparatorEmail: info@nsjbio.com
  • Tel: 858.663.9055
  • Email: info@nsjbio.com
Home >> Antibodies >> NUMB Antibody

NUMB Antibody (RQ8514)

  Catalog No Formulation Size Price (USD)  
Image RQ8514 0.5mg/ml if reconstituted with 0.2ml sterile DI water 100 ug 439
Bulk quote request
Flow cytometry testing of fixed and permeabilized human RT4 cells with NUMB antibody at 1ug/million cells (blocked with goat sera); Red=cells alone, Green=isotype control, Blue= NUMB antibody.
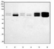
Western blot testing of 1) human HeLa, 2) human U-87 MG, 3) human RT4, 4) monkey COS-7, 5) rat brain and 6) mouse brain tissue lysate with NUMB antibody. Predicted molecular weight: 37-72 kDa (multiple isoforms including p65, p66 and p72).
Availability 1-3 days
Species Reactivity Human, Monkey, Mouse, Rat
Format Antigen affinity purified
Clonality Polyclonal (rabbit origin)
Isotype Rabbit IgG
Purity Antigen affinity purified
Buffer Lyophilized from 1X PBS with 2% Trehalose
UniProt P49757
Applications Western Blot : 0.5-1ug/ml
Flow Cytometry : 1-3ug/million cells
ELISA : 0.1-0.5ug/ml
Limitations This NUMB antibody is available for research use only.
Review this product on BioCompare and get a $20 Amazon gift card

Related Products

  • Applications : WB, IHC-P, FACS
    Reactivity : Human, Mouse, Rat, Monkey
  • Applications : WB, IHC, ELISA
    Reactivity : Human
    Pred. Reactivity : Mouse, Rat
  • Applications : IHC-P, IF/ICC, FACS, ELISA (peptide)
    Reactivity : Human, Mouse

Description

Protein numb homolog is a protein that in humans is encoded by the NUMB gene. It is mapped to 14q24.2 to q24.3. The encoded protein, whose degradation is induced in a proteasome-dependent manner by MDM2, is a membrane-bound protein that has been shown to associate with EPS15, LNX1, and NOTCH1. The primary function of Numb in cell differentiation is as an inhibitor of Notch signaling which is essential for maintaining self-renewal potential in stem and progenitor cells. Numb also plays a crucial role in asymmetrical cell division during development, allowing for differential cell fate specification in the central and peripheral nervous systems. What�s more, the numb gene protein product controls binary cell fate decisions in the peripheral and central nervous systems of both invertebrates and mammals during neurogenesis.

Application Notes

Optimal dilution of the NUMB antibody should be determined by the researcher.

Immunogen

An E.coli-derived human recombinant protein (amino acids E59-A567) was used as the immunogen for the NUMB antibody.

Storage

After reconstitution, the NUMB antibody can be stored for up to one month at 4oC. For long-term, aliquot and store at -20oC. Avoid repeated freezing and thawing.

Cross
Bulk Quote Request Form
Name*:
Organization*:
Email*:
Phone Number*:
Catalog No.*:
Comments and Specifics(amount, formulation, etc.)*:
Validation code: Captchapackage Image


Can't read the image? click here to refresh.
    *required field

Your bulk quote request has been submitted successfully!

Please contact us if you have any questions.