• Tel: 858.663.9055
  • SeparatorEmail: info@nsjbio.com
  • Tel: 858.663.9055
  • Email: info@nsjbio.com
Home >> Antibodies >> NUDT5 Antibody / ADP-sugar pyrophosphatase

NUDT5 Antibody / ADP-sugar pyrophosphatase (RQ8353)

  Catalog No Formulation Size Price (USD)  
Image RQ8353 0.5mg/ml if reconstituted with 0.2ml sterile DI water 100 ug 439
Bulk quote request
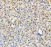
IHC staining of FFPE human liver cancer tissue with NUDT5 antibody. HIER: boil tissue sections in pH8 EDTA for 20 min and allow to cool before testing.
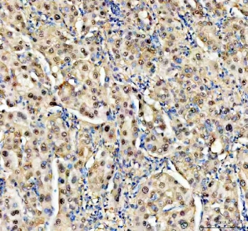
IHC staining of FFPE mouse liver tissue with NUDT5 antibody. HIER: boil tissue sections in pH8 EDTA for 20 min and allow to cool before testing.
IHC staining of FFPE rat liver tissue with NUDT5 antibody. HIER: boil tissue sections in pH8 EDTA for 20 min and allow to cool before testing.
Western blot testing of 1) human Caco-2, 2) human 293T, 3) human Jurkat, 4) human HepG2 and 5) rat liver, 6) rat RH35, 7) mouse liver and 8) mouse HEPA1-6 cell lysate with NUDT5 antibody. Predicted molecular weight ~35 kDa.
Flow cytometry testing of fixed and permeabilized human Caco-2 cells with NUDT5 antibody at 1ug/million cells (blocked with goat sera); Red=cells alone, Green=isotype control, Blue= NUDT5 antibody.
Immunofluorescent staining of FFPE human U-2 OS cells with NUDT5 antibody (green) and Beta Tubulin mAb (red). HIER: steam section in pH6 citrate buffer for 20 min.
Immunoprecipitation of NUDT5 protein from 500ug of human 293T whole cell lysate with 2ug of NUDT5 antibody.
Availability 1-3 business days
Species Reactivity Human, Mouse, Rat
Format Antigen affinity purified
Clonality Polyclonal (rabbit origin)
Isotype Rabbit IgG
Purity Antigen affinity purified
Buffer Lyophilized from 1X PBS with 2% Trehalose
UniProt Q9UKK9
Localization Nuclear, cytoplasmic
Applications Western Blot : 0.5-1ug/ml
Immunohistochemistry (FFPE) : 2-5ug/ml
Flow Cytometry : 1-3ug/million cells
Direct ELISA : 0.1-0.5ug/ml
Immunofluorescence : 5ug/ml
Immunoprecipitation : 2ug antibody/500ug lysate
Limitations This NUDT5 antibody is available for research use only.
Review this product on BioCompare and get a $20 Amazon gift card

Description

ADP-sugar pyrophosphatase is an enzyme that in humans is encoded by the NUDT5 gene. This gene belongs to the Nudix (nucleoside diphosphate linked moiety X) hydrolase superfamily. The encoded enzyme catalyzes the hydrolysis of modified nucleoside diphosphates, including ADP-ribose (ADPR) and 8-oxoGua-containing 8-oxo-dADP and 8-oxo-dGDP. Protein-bound ADP ribose can be hazardous to the cell because it can modify some amino acid residues, resulting in the inhibition of ATP-activated potassium channels. 8-oxoGua is an oxidized form of guanine that can potentially alter genetic information by pairing with adenine and cytosine in RNA. Presence of 8-oxoGua in RNA results in formation of abnormal proteins due to translational errors.

Application Notes

Optimal dilution of the NUDT5 antibody should be determined by the researcher.

Immunogen

An E.coli-derived human recombinant protein (M1-F219) was used as the immunogen for the NUDT5 antibody.

Storage

After reconstitution, the NUDT5 antibody can be stored for up to one month at 4oC. For long-term, aliquot and store at -20oC. Avoid repeated freezing and thawing.

Cross
Bulk Quote Request Form
Name*:
Organization*:
Email*:
Phone Number*:
Catalog No.*:
Comments and Specifics(amount, formulation, etc.)*:
Validation code: Captchapackage Image


Can't read the image? click here to refresh.
    *required field

Your bulk quote request has been submitted successfully!

Please contact us if you have any questions.