• Tel: 858.663.9055
  • SeparatorEmail: info@nsjbio.com
  • Tel: 858.663.9055
  • Email: info@nsjbio.com
Home >> Antibodies >> Nucleostemin Antibody / GNL3

Nucleostemin Antibody / GNL3 (RQ6638)

  Catalog No Formulation Size Price (USD)  
Image RQ6638 0.5mg/ml if reconstituted with 0.2ml sterile DI water 100 ug 439
Bulk quote request
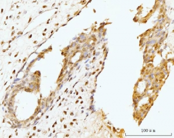
IHC staining of FFPE human breast cancer tissue with Nucleostemin antibody. HIER: boil tissue sections in pH8 EDTA for 20 min and allow to cool before testing.
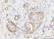
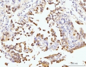
IHC staining of FFPE human appendiceal adenocarcinoma tissue with Nucleostemin antibody. HIER: boil tissue sections in pH8 EDTA for 20 min and allow to cool before testing.
IHC staining of FFPE human colonic adenocarcinoma tissue with Nucleostemin antibody. HIER: boil tissue sections in pH8 EDTA for 20 min and allow to cool before testing.
IHC staining of FFPE human gall bladder adenosquamous carcinoma tissue with Nucleostemin antibody. HIER: boil tissue sections in pH8 EDTA for 20 min and allow to cool before testing.
Immunofluorescent staining of FFPE human Hep3B cells with Nucleostemin antibody (Dylight 488-conjugated secondary, green), Phalloidin-iFluor 555 conjugate (red) and DAPI (blue). HIER: steam section in pH6 citrate buffer for 20 min.
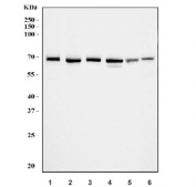
Western blot testing of 1) human HeLa, 2) human K562, 3) human PC-3, 4) human Jurkat, 5) rat C6 and 6) mouse NIH 3T3 cell lysate with Nucleostemin antibody. Predicted molecular weight: ~62/60 kDa (isoforms 1/2).
Flow cytometry testing of human HeLa cells with Nucleostemin antibody at 1ug/million cells (blocked with goat sera); Red=cells alone, Green=isotype control, Blue= Nucleostemin antibody.
Availability 1-3 business days
Species Reactivity Human, Mouse, Rat
Format Antigen affinity purified
Clonality Polyclonal (rabbit origin)
Isotype Rabbit IgG
Purity Antigen affinity purified
Buffer Lyophilized from 1X PBS with 2% Trehalose
UniProt Q9BVP2
Localization Nuclear
Applications Western Blot : 1-2ug/ml
Immunohistochemistry (FFPE) : 2-5ug/ml
Immunofluorescence (FFPE) : 5ug/ml
Flow Cytometry : 1-3ug/million cells
Direct ELISA : 0.1-0.5ug/ml
Limitations This Nucleostemin antibody is available for research use only.
Review this product on BioCompare and get a $20 Amazon gift card

Related Products

Description

Guanine nucleotide-binding protein-like 3, also known as nucleostemin, is a protein that in humans is encoded by the GNL3 gene. The protein encoded by this gene may interact with p53 and may be involved in tumorigenesis. The encoded protein also appears to be important for stem cell proliferation. This protein is found in both the nucleus and nucleolus. Three transcript variants encoding two different isoforms have been found for this gene.

Application Notes

Optimal dilution of the Nucleostemin antibody should be determined by the researcher.

Immunogen

Recombinant human protein (amino acids R45-V549) was used as the immunogen for the Nucleostemin antibody.

Storage

After reconstitution, the Nucleostemin antibody can be stored for up to one month at 4oC. For long-term, aliquot and store at -20oC. Avoid repeated freezing and thawing.

Cross
Bulk Quote Request Form
Name*:
Organization*:
Email*:
Phone Number*:
Catalog No.*:
Comments and Specifics(amount, formulation, etc.)*:
Validation code: Captchapackage Image


Can't read the image? click here to refresh.
    *required field

Your bulk quote request has been submitted successfully!

Please contact us if you have any questions.