• Tel: 858.663.9055
  • SeparatorEmail: info@nsjbio.com
  • Tel: 858.663.9055
  • Email: info@nsjbio.com
Home >> Antibodies >> Nucleolin Antibody

Nucleolin Antibody [clone NCL/902] (V2755)

  Catalog No Formulation Size Price (USD)  
Image V2755-100UG 0.2 mg/ml in 1X PBS with 0.1 mg/ml BSA (US sourced) and 0.05% sodium azide 100 ug 539
Image
V2755-20UG 0.2 mg/ml in 1X PBS with 0.1 mg/ml BSA (US sourced) and 0.05% sodium azide 20 ug 249
Image
V2755SAF-100UG 1 mg/ml in 1X PBS; BSA free, sodium azide free 100 ug 539
Image
V2755IHC-7ML Prediluted in 1X PBS with 0.1 mg/ml BSA (US sourced) and 0.05% sodium azide; *For IHC use only* 7 ml 539
Bulk quote request
Western blot of A431 cell lysate using Nucleolin antibody.
IHC: Formalin-fixed, paraffin-embedded human tonsil stained with Nucleolin antibody.
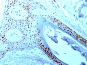
IHC: Formalin-fixed, paraffin-embedded human skin stained with Nucleolin antibody.
IHC: Formalin-fixed, paraffin-embedded human uterus stained with Nucleolin antibody.
IHC: Formalin-fixed, paraffin-embedded human bladder carcinoma stained with Nucleolin antibody.
IHC: Formalin-fixed, paraffin-embedded human ovarian carcinoma stained with Nucleolin antibody.
Flow cytometry of human Jurkat cells. Grey: isotype control; Green: FITC-labeled; Purple: APC-Labeled; turquoise: AF700-Labeled Nucleolin antibody.
Flow cytometry testing of human 293T cells. Black: cells alone; Grey: isotype control; Green: AF488-labeled Nucleolin antibody.
Permeabilized human HeLa cells stained with AF488 labeled Nucleolin antibody. Green: AF488-labeled Ab. Blue: DAPI.
Immunofluorescent staining of PFA-fixed human MCF7 cells with Nucleolin antibody (green, clone NCL/902) and Phalloidin (red).
Immunofluorescent staining of PFA-fixed human K562 cells with Nucleolin antibody (green, clone NCL/902) and Phalloidin (red).
Flow cytometry testing of human 293T cells. Black: cells alone; Grey: isotype control; Green: AF488-labeled Nucleolin antibody.
Availability 1-3 business days
Species Reactivity Human, Mouse, Rat
Format Purified
Clonality Monoclonal (mouse origin)
Isotype Mouse IgG1, kappa
Clone Name NCL/902
Purity Protein G affinity chromatography
UniProt P19338
Localization Nucleoli
Applications Flow Cytometry : 1-2ug/million cells
Immunofluorescence : 1-2ug/ml
Western Blot : 1-2ug/ml
Immunohistochemistry (FFPE) : 1-2ug/ml for 30 min at RT
Limitations This Nucleolin antibody is available for research use only.
Review this product on BioCompare and get a $20 Amazon gift card

Related Products

Description

Recognizes a protein of ~76kDa, which is identified as Nucleolin (NCL). It is the major nucleolar phosphoprotein of growing eukaryotic cells. NCL is located mainly in dense fibrillar regions of the nucleolus. It is found associated with intranucleolar chromatin and pre-ribosomal particles. Human NCL gene consists of 14 exons with 13 introns and spans approximately 11kb. It induces chromatin decondensation by binding to histone H1. It is thought to play a role in pre-rRNA transcription and ribosome assembly.

Application Notes

Optimal dilution of the Nucleolin antibody should be determined by the researcher.

1. Staining of formalin-fixed tissues requires boiling tissue sections in pH 9 10mM Tris with 1mM EDTA for 10-20 min followed by cooling at RT for 20 min
2. The prediluted format is supplied in a dropper bottle and is optimized for use in IHC. After epitope retrieval step (if required), drip mAb solution onto the tissue section and incubate at RT for 30 min.

Immunogen

Recombinant human protein was used as the immunogen for the Nucleolin antibody.

Storage

Store the Nucleolin antibody at 2-8oC (with azide) or aliquot and store at -20oC or colder (without azide).

Cross
Bulk Quote Request Form
Name*:
Organization*:
Email*:
Phone Number*:
Catalog No.*:
Comments and Specifics(amount, formulation, etc.)*:
Validation code: Captchapackage Image


Can't read the image? click here to refresh.
    *required field

Your bulk quote request has been submitted successfully!

Please contact us if you have any questions.