• Tel: 858.663.9055
  • SeparatorEmail: info@nsjbio.com
  • Tel: 858.663.9055
  • Email: info@nsjbio.com
Home >> Antibodies >> NTCP Antibody / SLC10A1

NTCP Antibody / SLC10A1 (R31795)

  Catalog No Formulation Size Price (USD)  
Image R31795 0.5mg/ml if reconstituted with 0.2ml sterile DI water 100 ug 439
Bulk quote request
Western blot testing of 1) rat liver and 2) mouse liver lysate with SLC10A1 antibody. Expected molecular weight: 38~45 kDa.
Western blot testing of 1) rat liver and 2) mouse liver lysate with SLC10A1 antibody. Expected molecular weight: 38~45 kDa.
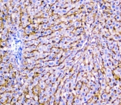
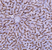
IHC testing of FFPE mouse liver with NTCP antibody. HIER: Boil the paraffin sections in pH 6, 10mM citrate buffer for 20 minutes and allow to cool prior to staining.
IHC testing of FFPE rat liver with NTCP antibody. HIER: Boil the paraffin sections in pH 6, 10mM citrate buffer for 20 minutes and allow to cool prior to staining.
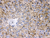
IHC testing of frozen mouse liver tissue with NTCP antibody.
Flow cytometry testing of Buffalo rat liver (BRL 3A) cells with NTCP antibody at 1ug/10^6 cells (blocked with goat sera); Red=cells alone, Green=isotype control, Blue=NTCP antibody.
Immunofluorescent staining of FFPE mouse liver with NTCP antibody (green) and DAPI nuclear counterstain (blue). HIER: boil tissue sections in pH6, 10mM citrate buffer, for 10-20 min followed by cooling at RT for 20 min.
Immunofluorescent staining of FFPE mouse liver with NTCP antibody (red) and DAPI nuclear counterstain (blue). HIER: boil tissue sections in pH6, 10mM citrate buffer, for 10-20 min followed by cooling at RT for 20 min.
Western blot testing of 1) rat liver and 2) rat kidney lysate with SLC10A1 antibody. Expected molecular weight: 38~45 kDa.
IHC testing of FFPE mouse liver with NTCP antibody. HIER: Boil the paraffin sections in pH8 EDTA buffer for 20 minutes and allow to cool prior to staining.
IHC testing of FFPE rat liver with NTCP antibody. HIER: Boil the paraffin sections in pH8 EDTA buffer for 20 minutes and allow to cool prior to staining.
Immunofluorescent staining of FFPE mouse liver with NTCP antibody (red) and DAPI nuclear counterstain (blue). HIER: boil tissue sections in pH8 EDTA buffer, for 10-20 min followed by cooling at RT for 20 min.
Availability 1-3 business days
Species Reactivity Mouse, Rat
Format Antigen affinity purified
Clonality Polyclonal (rabbit origin)
Isotype Rabbit IgG
Purity Antigen affinity
Buffer Lyophilized from 1X PBS with 2% Trehalose
UniProt O08705
Localization Membrane
Applications Western Blot : 0.1-0.5ug/ml
Immunohistochemistry (FFPE) : 0.5-1ug/ml
Immunohistochemistry (Frozen) : 0.5-1ug/ml
Flow Cytometry : 1-3ug/million cells
Immunofluorescence (FFPE) : 1-2ug/ml
Limitations This NTCP antibody is available for research use only.
Review this product on BioCompare and get a $20 Amazon gift card

Related Products

  • Applications : WB, IHC-P
    Reactivity : Human, Mouse, Rat
  • Applications : WB
    Reactivity : Rat
  • Applications : WB, IHC-P, IF, FACS, Direct ELISA
    Reactivity : Mouse, Rat
  • Applications : WB, Direct ELISA
    Reactivity : Human, Mouse, Rat, Monkey
  • Applications : WB, FACS
    Reactivity : Human

Description

NTCP antibody detects Sodium/bile acid cotransporter (NTCP), encoded by the SLC10A1 gene on chromosome 14q24.1. NTCP antibody is commonly used in research focused on hepatic physiology, bile acid transport, and viral infection biology. NTCP is a sodium-dependent transporter located on the basolateral membrane of hepatocytes and functions as a key receptor for bile acids, driving their reuptake from portal blood into the liver. This process maintains enterohepatic circulation and bile acid homeostasis, supporting digestion, cholesterol metabolism, and signaling regulation. Beyond bile acid transport, NTCP has been identified as a critical receptor for hepatitis B virus (HBV) and hepatitis D virus (HDV), making it a central target in hepatology research.

Structurally, NTCP is a ~349 amino acid glycoprotein predicted to contain seven transmembrane domains, with extracellular loops that participate in ligand binding and viral recognition. Its sodium-binding sites couple transport of bile acids with sodium gradients, ensuring efficient uptake. NTCP is highly conserved across mammals, reflecting its essential physiological role. Expression is predominantly restricted to hepatocytes, where it is localized to the sinusoidal membrane, although lower levels have been detected in extrahepatic tissues.

Functionally, NTCP regulates bile acid transport by mediating uptake of conjugated bile salts such as taurocholate and glycocholate. By controlling hepatic bile acid flux, NTCP contributes to cholesterol catabolism, nutrient absorption, and metabolic signaling through bile acid-activated nuclear receptors like FXR and TGR5. NTCP also functions as the entry receptor for HBV and HDV, with viral preS1 domain binding to NTCP extracellular loops to initiate infection. Inhibition of NTCP prevents viral entry, making it a therapeutic target for antiviral strategies. Researchers use NTCP antibody to study bile acid metabolism, transporter biology, and viral pathogenesis.

Clinically, NTCP has major implications in hepatology and infectious disease. Mutations in SLC10A1 cause NTCP deficiency, a rare metabolic disorder characterized by elevated serum bile acid levels and neonatal hypercholanemia. NTCP polymorphisms influence susceptibility to HBV infection and disease progression. Pharmacological inhibition of NTCP by bile acid derivatives or drugs such as Myrcludex B (bulevirtide) is being investigated for treatment of HBV/HDV infection. Altered NTCP expression also contributes to cholestatic liver diseases and metabolic syndromes. NSJ Bioreagents offers NTCP antibody as a validated reagent for liver disease, viral infection, and transporter research.

Experimentally, NTCP antibody is applied in western blotting to detect the ~39 kDa protein, in immunofluorescence microscopy to visualize hepatocyte plasma membrane localization, and in immunohistochemistry to study liver tissue expression. Co-immunoprecipitation with NTCP antibody enables identification of viral binding partners and transport complexes. Functional assays combining NTCP antibody with transport inhibitors provide insights into bile acid flux and viral entry mechanisms.

Application Notes

Optimal dilution of the NTCP antibody should be determined by the researcher.

Immunogen

Amino acids EGLLFIIIFRCYLKIKPQKDQTKITYKAAATEDATPAALEK of mouse SLC10A1/NTCP were used as the immunogen for the NTCP antibody.

Storage

After reconstitution, the NTCP antibody can be stored for up to one month at 4oC. For long-term, aliquot and store at -20oC. Avoid repeated freezing and thawing.

Cross
Bulk Quote Request Form
Name*:
Organization*:
Email*:
Phone Number*:
Catalog No.*:
Comments and Specifics(amount, formulation, etc.)*:
Validation code: Captchapackage Image


Can't read the image? click here to refresh.
    *required field

Your bulk quote request has been submitted successfully!

Please contact us if you have any questions.