• Tel: 858.663.9055
  • SeparatorEmail: info@nsjbio.com
  • Tel: 858.663.9055
  • Email: info@nsjbio.com
Home >> Antibodies >> NSE Antibody / Neuron Specific Enolase

NSE Antibody / Neuron Specific Enolase (RQ4566)

  Catalog No Formulation Size Price (USD)  
Image RQ4566 0.5mg/ml if reconstituted with 0.2ml sterile DI water 100 ug 439
Bulk quote request
Immunofluorescent staining of FFPE human A431 cells with NSE antibody (green) and DAPI nuclear stain (blue). HIER: steam section in pH6 citrate buffer for 20 min.
IHC staining of FFPE human pancreatic cancer with NSE antibody at 1ug/ml. HIER: boil tissue sections in pH6, 10mM citrate buffer, for 10-20 min followed by cooling at RT for 20 min.
IHC staining of FFPE human lung cancer with NSE antibody at 1ug/ml. HIER: boil tissue sections in pH6, 10mM citrate buffer, for 10-20 min followed by cooling at RT for 20 min.
IHC staining of FFPE human placenta with NSE antibody at 1ug/ml. HIER: boil tissue sections in pH6, 10mM citrate buffer, for 10-20 min followed by cooling at RT for 20 min.
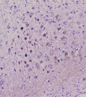
IHC staining of FFPE mouse brain with NSE antibody at 1ug/ml. HIER: boil tissue sections in pH6, 10mM citrate buffer, for 10-20 min followed by cooling at RT for 20 min.
IHC staining of FFPE rat brain with NSE antibody at 1ug/ml. HIER: boil tissue sections in pH6, 10mM citrate buffer, for 10-20 min followed by cooling at RT for 20 min.
Western blot testing of human 1) 22RV1, 2) U-2 OS, 3) A431, 4) HepG2, 5) A549, 6) SHG-44, 7) rat brain and 8) mouse brain lysate with NSE antibody at 0.5ug/ml. Predicted molecular weight ~47 kDa.
Flow cytometry testing of human A431 cells with NSE antibody at 1ug/million cells (blocked with goat sera); Red=cells alone, Green=isotype control, Blue= NSE antibody.
Availability 1-3 business days
Species Reactivity Human, Mouse, Rat
Format Antigen affinity purified
Clonality Polyclonal (rabbit origin)
Isotype Rabbit IgG
Purity Antigen affinity purified
Buffer Lyophilized from 1X PBS with 2% Trehalose and 0.025% sodium azide
UniProt P09104
Localization Cytoplasmic
Applications Western Blot : 0.5-1ug/ml
Immunohistochemistry (FFPE) : 1-2ug/ml
Immunofluorescence (FFPE) : 2-4ug/ml
Flow Cytometry : 1-3ug/million cells
Review this product on BioCompare and get a $20 Amazon gift card

Related Products

Description

NSE (neuron specific enolase), also known as Enolase 2 (ENO2), is found in elevated concentrations in plasma in certain neoplasias. The enolases catalyze the interconversion of 2-phosphoglycerate to phosphoenolpyruvate in the glycolytic pathway. ENO2 gene contains 12 exons distributed over 9,213 nucleotides. Human neurone-specific enolase is mapped to chromosome 12p13.

Application Notes

Optimal dilution of the NSE antibody should be determined by the researcher.

Immunogen

Amino acids LKAVDHINSTIAPALISSGLSVVEQEKLDNLMLELDGTENK were used as the immunogen for the NSE antibody.

Storage

After reconstitution, the NSE antibody can be stored for up to one month at 4oC. For long-term, aliquot and store at -20oC. Avoid repeated freezing and thawing.

Cross
Bulk Quote Request Form
Name*:
Organization*:
Email*:
Phone Number*:
Catalog No.*:
Comments and Specifics(amount, formulation, etc.)*:
Validation code: Captchapackage Image


Can't read the image? click here to refresh.
    *required field

Your bulk quote request has been submitted successfully!

Please contact us if you have any questions.